手机应用
微信
微博
QQ群
普通登陆
QQ登录
找回密码
注册
登录
好友
帖子
收藏
道具
勋章
任务
搜索
搜索
本版
文章
帖子
用户
影像医生
也能
网上问诊
了
首页
社区
BBS
新闻
读片会
影像图库
锐滴达
医影在线
»
社区
›
影像读片
›
CT病例讨论
›
CT50811:上腹部CT
CT50811:上腹部CT
查看数:
871
|
评论数:
4
|
收藏
0
关灯
|
提示:支持键盘翻页<-左 右->
帖子模式
组图打开中,请稍候......
收藏
0
赞同
0
反对
0
ldm1993
发布时间:
2015-7-7 18:31
正文摘要:
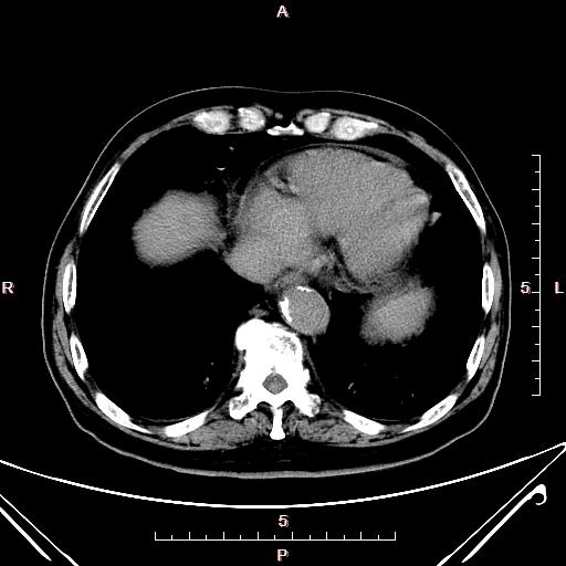
男,88岁,腹痛1个月,加重8小时,10年前胆囊切除,彩超示:肝内外胆管扩张。
回复
施明
发表于
2015-7-9 09:53
mrcp看看
shibing
发表于
2015-7-8 10:06
1、胆总管及肝内胆管扩张并于胰头钩突部截断,多考虑胆总管占位性病变,建议ERCP或MRCP。
2、双肾囊肿。
支持
收藏
0
摘星空竹子
发表于
2015-7-7 23:28
1、胆总管及肝内胆管扩张并于胰头钩突部截断,多考虑胆总管占位性病变,建议ERCP或MRCP。
2、双肾囊肿。
支持
收藏
0
居然
发表于
2015-7-7 22:23
胆总管末端占位
支持
收藏
0
快速回复
返回顶部
返回列表