手机应用
微信
微博
QQ群
普通登陆
QQ登录
找回密码
注册
登录
好友
帖子
收藏
道具
勋章
任务
搜索
搜索
本版
文章
帖子
用户
影像医生
也能
网上问诊
了
首页
社区
BBS
新闻
读片会
影像图库
锐滴达
医影在线
»
社区
›
影像读片
›
CT病例讨论
›
CT50859:女.72岁
CT50859:女.72岁
查看数:
1253
|
评论数:
9
|
收藏
0
关灯
|
提示:支持键盘翻页<-左 右->
帖子模式
组图打开中,请稍候......
收藏
0
赞同
0
反对
0
zmczmc
发布时间:
2015-7-18 13:01
正文摘要:
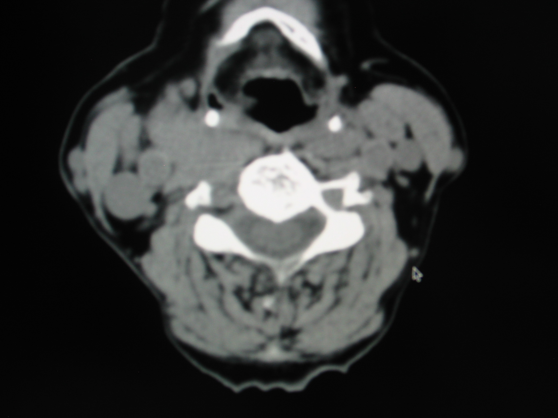
本帖最后由 cefcmj 于 2015-7-18 17:15 编辑 颈部肿大。
回复
西街生活
发表于
2016-8-13 16:44
双侧甲状腺弥漫性增大,密度均匀减低,考虑淋巴性甲状腺炎或弥漫性甲状腺肿可能性大,请结合相关检查。
支持
收藏
0
施明
发表于
2015-7-20 09:53
弥漫甲状腺肿
支持
收藏
0
sunbin
发表于
2015-7-19 10:48
双侧甲状腺弥漫性肿大,密度伤均匀,考虑弥漫性甲状腺肿。
支持
收藏
0
leiheku
发表于
2015-7-19 08:51
建议强化
leiheku
发表于
2015-7-19 08:51
弥漫性甲状腺肿
支持
收藏
0
摘星空竹子
发表于
2015-7-18 22:32
考虑弥漫性甲状腺肿可能性大,建议增强扫描。
支持
收藏
0
天路人
发表于
2015-7-18 19:42
结节性甲状腺肿?腺瘤?建议增强。
支持
收藏
0
shibing
发表于
2015-7-18 17:44
双侧甲状腺弥漫性增大,密度均匀减低,考虑淋巴性甲状腺炎或弥漫性甲状腺肿可能性大,请结合相关检查。
支持
收藏
0
zhengfaming
发表于
2015-7-18 15:38
双侧甲状腺弥漫性增大,密度均匀减低,考虑淋巴性甲状腺炎或弥漫性甲状腺肿可能性大,请结合相关检查。
支持
收藏
0
快速回复
返回顶部
返回列表