手机应用
微信
微博
QQ群
普通登陆
QQ登录
找回密码
注册
登录
好友
帖子
收藏
道具
勋章
任务
搜索
搜索
本版
文章
帖子
用户
影像医生
也能
网上问诊
了
首页
社区
BBS
新闻
读片会
影像图库
锐滴达
医影在线
»
社区
›
影像读片
›
CT病例讨论
›
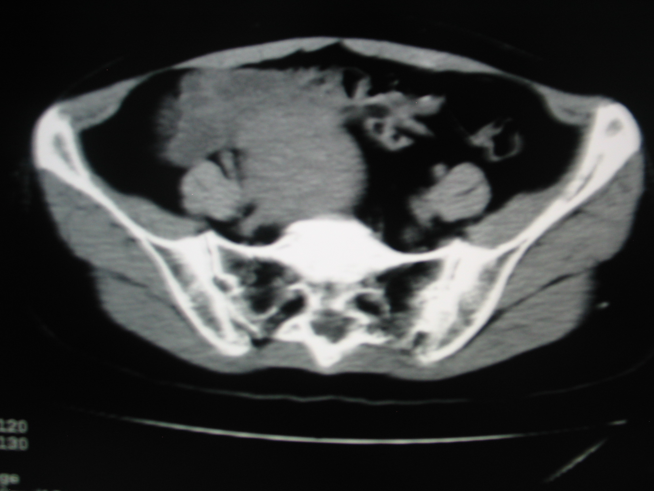
CT50860:女.46岁;超声子宫肌瘤。
CT50860:女.46岁;超声子宫肌瘤。
查看数:
672
|
评论数:
7
|
收藏
1
关灯
|
提示:支持键盘翻页<-左 右->
帖子模式
组图打开中,请稍候......
收藏
1
赞同
0
反对
0
zmczmc
发布时间:
2015-7-18 13:06
正文摘要:
本帖最后由 cefcmj 于 2015-7-18 17:16 编辑 瘤体外的一圈低密度是什么?
回复
zmczmc
发表于
2015-7-26 13:14
手术 子宫肌瘤 右侧附件区未见异常。 ( 瘤体外周线圈样低密度为其对子宫肌的压迫形成。或为瘤体外周一层疏松组织.假包膜。)
支持
收藏
1
施明
发表于
2015-7-20 09:50
卵巢囊肿
sunbin
发表于
2015-7-19 10:44
子宫及周围可见巨大软组织密度包绕,右侧附件区见低密度影,考虑巨大子宫肌瘤,右侧卵巢囊肿可能。
支持
收藏
1
leiheku
发表于
2015-7-19 08:49
肌瘤,卵巢囊肿
支持
收藏
1
摘星空竹子
发表于
2015-7-18 23:43
巨大子宫肌瘤,右侧附件区低密度影,考虑聚集的肠管。
支持
收藏
1
shibing
发表于
2015-7-18 17:44
盆腔巨大肿块,密度不均匀,与子宫相连,支持巨大子宫肌瘤;右侧附件区囊性病变,考虑卵巢来源囊肿可能性大。
支持
收藏
1
zhengfaming
发表于
2015-7-18 15:34
盆腔巨大肿块,密度不均匀,与子宫相连,支持巨大子宫肌瘤;右侧附件区囊性病变,考虑卵巢来源囊肿可能性大。
支持
收藏
1
快速回复
返回顶部
返回列表