手机应用
微信
微博
QQ群
普通登陆
QQ登录
找回密码
注册
登录
好友
帖子
收藏
道具
勋章
任务
搜索
搜索
本版
文章
帖子
用户
影像医生
也能
网上问诊
了
首页
社区
BBS
新闻
读片会
影像图库
锐滴达
医影在线
»
社区
›
影像读片
›
CT病例讨论
›
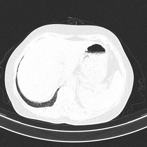
CT50872:右下肺这个是大泡还是含气囊肿
CT50872:右下肺这个是大泡还是含气囊肿
查看数:
1165
|
评论数:
7
|
收藏
0
关灯
|
提示:支持键盘翻页<-左 右->
帖子模式
组图打开中,请稍候......
收藏
0
赞同
0
反对
0
enge888
发布时间:
2015-7-19 20:58
正文摘要:
右下肺这个是大泡还是含气囊肿
回复
宇宙CT
发表于
2015-8-3 16:31
左支扩、右囊肿
支持
收藏
0
leiheku
发表于
2015-7-20 16:36
支气管囊肿
支持
收藏
0
xx20361
发表于
2015-7-20 11:19
本帖最后由 xx20361 于 2015-7-20 11:20 编辑
壁比较厚,壁内见血管影,囊肿可能性大
支持
收藏
0
shibing
发表于
2015-7-20 08:08
肺囊肿
施明
发表于
2015-7-20 07:48
肺囊肿
摘星空竹子
发表于
2015-7-19 22:51
考虑两肺支气管囊肿
支持
收藏
0
笑微微
发表于
2015-7-19 22:29
肺大泡
快速回复
返回顶部
返回列表