手机应用
微信
微博
QQ群
普通登陆
QQ登录
找回密码
注册
登录
好友
帖子
收藏
道具
勋章
任务
搜索
搜索
本版
文章
帖子
用户
影像医生
也能
网上问诊
了
首页
社区
BBS
新闻
读片会
影像图库
锐滴达
医影在线
»
社区
›
影像读片
›
CT病例讨论
›
CT50893:胆囊积气诊断什么?
CT50893:胆囊积气诊断什么?
查看数:
1383
|
评论数:
10
|
收藏
0
关灯
|
提示:支持键盘翻页<-左 右->
帖子模式
组图打开中,请稍候......
收藏
0
赞同
0
反对
0
zxczxc
发布时间:
2015-7-22 12:49
正文摘要:
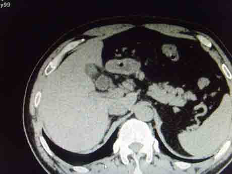
本帖最后由 cefcmj 于 2015-7-22 18:28 编辑 男,44岁,右上腹剧痛,胆囊积气诊断什么?
回复
sunbin
发表于
2015-7-29 13:37
胆囊密度不均,内见气体密度影,胆囊壁稍厚,考虑气肿性胆囊炎,化脓性胆囊炎?
支持
收藏
0
施明
发表于
2015-7-24 08:00
可能是感染
支持
收藏
0
muzi888
发表于
2015-7-23 22:17
气肿性胆囊炎。支持。
支持
收藏
0
jsdtd
发表于
2015-7-23 15:05
气肿型胆囊炎
支持
收藏
0
shibing
发表于
2015-7-23 08:42
气肿性胆囊炎。支持。
支持
收藏
0
天路人
发表于
2015-7-22 21:57
气肿性胆囊炎。支持。
支持
收藏
0
zjm赵建明
发表于
2015-7-22 20:30
产气菌感染所致气肿性胆囊炎。相同情况亦可见气肿性肾盂肾炎、膀胱炎。
支持
收藏
0
leiheku
发表于
2015-7-22 17:36
胆囊类固醇结石并胆囊炎
支持
收藏
0
总十医
发表于
2015-7-22 17:25
类固醇结石
支持
收藏
0
快速回复
返回顶部
返回列表