手机应用
微信
微博
QQ群
普通登陆
QQ登录
找回密码
注册
登录
好友
帖子
收藏
道具
勋章
任务
搜索
搜索
本版
文章
帖子
用户
影像医生
也能
网上问诊
了
首页
社区
BBS
新闻
读片会
影像图库
锐滴达
医影在线
»
社区
›
影像读片
›
CT病例讨论
›
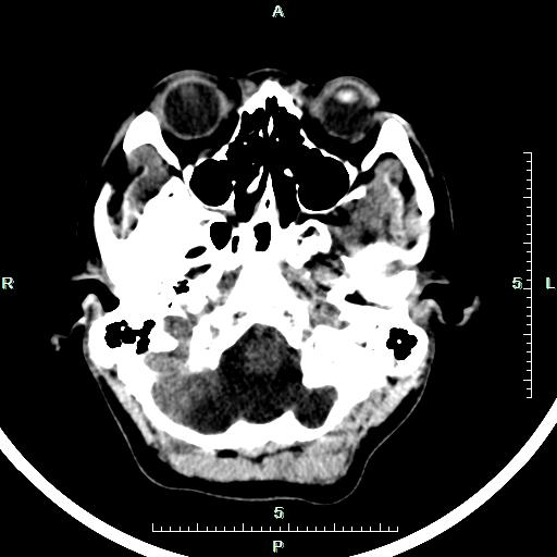
CT50898:男,21岁,先天畸形。
CT50898:男,21岁,先天畸形。
查看数:
1607
|
评论数:
11
|
收藏
0
关灯
|
提示:支持键盘翻页<-左 右->
帖子模式
组图打开中,请稍候......
收藏
0
赞同
0
反对
0
hhx58
发布时间:
2015-7-22 19:22
正文摘要:
男,21岁,精神病人。 1、巨大枕大池? 2、枕大池囊肿? 3、Dandg-Walker综合征?
回复
随光逐影
发表于
2015-7-24 17:01
考虑Dandy-Walker变异。
支持
2
收藏
0
sunbin
发表于
2015-7-29 08:45
枕大池呈囊状扩大,小脑及四脑室未见明显异常,考虑大枕大池。
支持
收藏
0
枫叶_qj09I
发表于
2015-7-24 22:50
第四脑室与枕大池相通,小脑半球受压,第四脑室上部相对正常,小脑蚓部相对正常,无脑积水,又为精神病人,可能智能低下。支持考虑Dandy-walkevr综合征(变异型)。
鉴别:1、枕大池囊肿:四脑室前移,病变以上脑室扩大。2、巨大枕大池:形状多为梯形,由中线向小脑表面延伸,内板常有局限压迹,囊肿可与四脑室相通,但四脑室形态位置正常,小脑发育基本正常,无受压变形,除枕大池扩大外,无脑室和小脑异常。
支持
收藏
0
笑微微
发表于
2015-7-24 15:19
大枕大池
jsdtd
发表于
2015-7-23 15:01
大枕大池
leiheku
发表于
2015-7-23 10:54
大枕大池
施明
发表于
2015-7-23 10:49
枕大池
shibing
发表于
2015-7-23 08:45
枕大池囊肿
来自: 微社区
支持
收藏
0
摘星空竹子
发表于
2015-7-22 22:38
大枕大池
快速回复
返回顶部
返回列表