手机应用
微信
微博
QQ群
普通登陆
QQ登录
找回密码
注册
登录
好友
帖子
收藏
道具
勋章
任务
搜索
搜索
本版
文章
帖子
用户
影像医生
也能
网上问诊
了
首页
社区
BBS
新闻
读片会
影像图库
锐滴达
医影在线
»
社区
›
影像读片
›
CT病例讨论
›
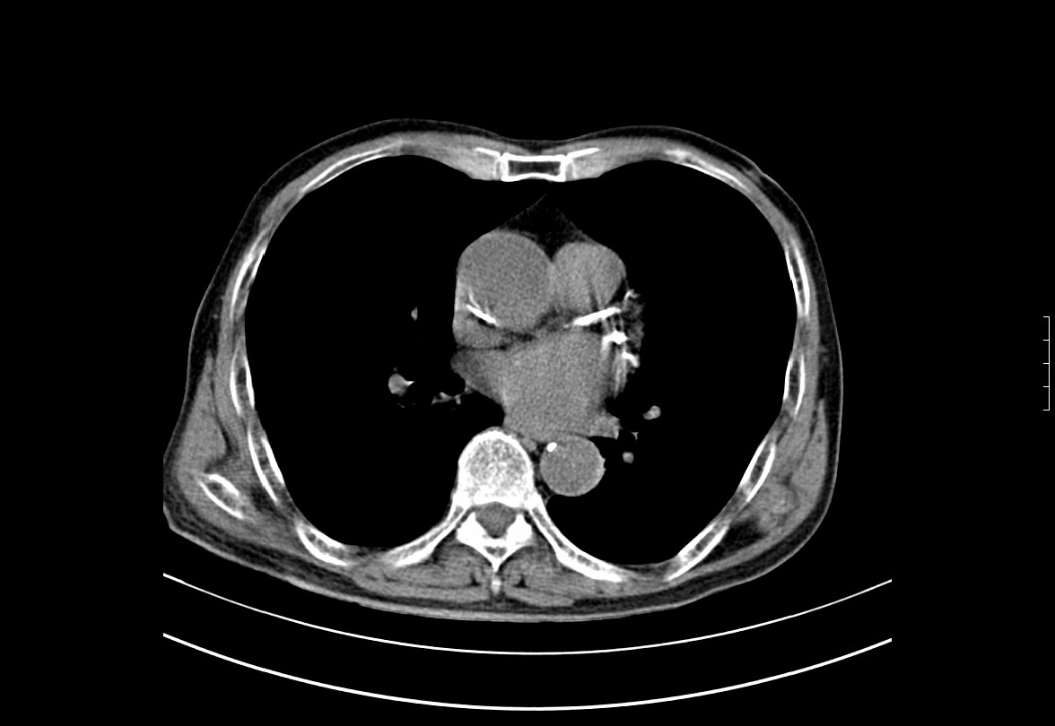
CT50900:男.85Y,体查发现左肺占位。
CT50900:男.85Y,体查发现左肺占位。
查看数:
1548
|
评论数:
14
|
收藏
0
关灯
|
提示:支持键盘翻页<-左 右->
帖子模式
组图打开中,请稍候......
收藏
0
赞同
0
反对
0
睛天
发布时间:
2015-7-23 11:01
正文摘要:
请会诊
回复
小小狗祺
发表于
2015-8-12 05:21
建议活检
157636063
发表于
2015-7-29 21:24
1、右上肺陈旧性结核。
2、气管痰栓。
3、主动脉硬化。
4、左下肺炎症?
支持
收藏
0
fgp1988
发表于
2015-7-29 21:23
左侧肺泡癌不排除。
支持
收藏
0
金缘分
发表于
2015-7-29 18:06
1.气管内痰块?气管肿瘤?建议支气管镜。
2.左肺肺癌可能性大。
支持
收藏
0
sunbin
发表于
2015-7-29 08:21
左肺下叶背段可见结节,边缘不规则,内见空泡征,两上肺见少许纤维索条影,主冠脉钙化,考虑左肺占位---肺癌?
支持
收藏
0
枫叶_qj09I
发表于
2015-7-24 21:34
肺泡癌可能性大,活检吧
支持
收藏
0
笑微微
发表于
2015-7-24 15:14
左侧肺泡癌,建议活检
支持
收藏
0
施明
发表于
2015-7-24 08:29
癌?
shibing
发表于
2015-7-24 08:17
左侧肺泡癌不排除。
支持
收藏
0
快速回复
返回顶部
返回列表