手机应用
微信
微博
QQ群
普通登陆
QQ登录
找回密码
注册
登录
好友
帖子
收藏
道具
勋章
任务
搜索
搜索
本版
文章
帖子
用户
影像医生
也能
网上问诊
了
首页
社区
BBS
新闻
读片会
影像图库
锐滴达
医影在线
»
社区
›
影像读片
›
CT病例讨论
›
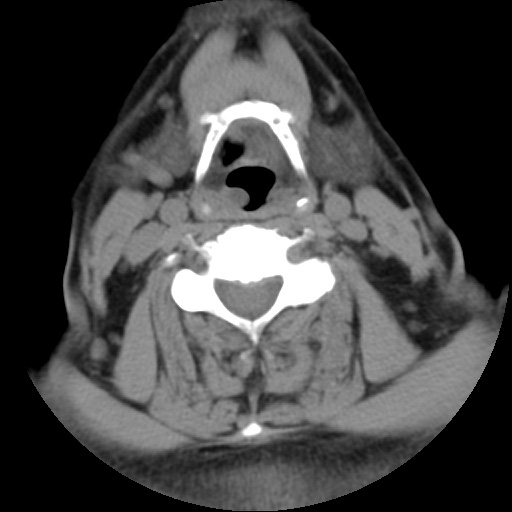
CT50903:左侧会厌谿病变?
CT50903:左侧会厌谿病变?
查看数:
1658
|
评论数:
4
|
收藏
0
关灯
|
提示:支持键盘翻页<-左 右->
帖子模式
组图打开中,请稍候......
收藏
0
赞同
0
反对
0
feiwu9
发布时间:
2015-7-23 20:52
正文摘要:
本帖最后由 cefcmj 于 2015-7-24 12:17 编辑 患者检查颈椎间盘时发现左侧会厌谿显示欠清,无明显不适,是否为患者吞咽唾液所致,不像病变,骨质无破坏。 ...
回复
施明
发表于
2015-7-29 08:52
占位
sunbin
发表于
2015-7-27 11:45
建议喉部CT或MRI检查。
支持
收藏
0
shibing
发表于
2015-7-24 10:08
图
shibing
发表于
2015-7-24 08:19
图
快速回复
返回顶部
返回列表