手机应用
微信
微博
QQ群
普通登陆
QQ登录
找回密码
注册
登录
好友
帖子
收藏
道具
勋章
任务
搜索
搜索
本版
文章
帖子
用户
影像医生
也能
网上问诊
了
首页
社区
BBS
新闻
读片会
影像图库
锐滴达
医影在线
»
社区
›
影像读片
›
CT病例讨论
›
CT50906:肝癌?
CT50906:肝癌?
查看数:
1523
|
评论数:
13
|
收藏
1
关灯
|
提示:支持键盘翻页<-左 右->
帖子模式
组图打开中,请稍候......
收藏
1
赞同
0
反对
0
此人不败
发布时间:
2015-7-24 12:54
正文摘要:
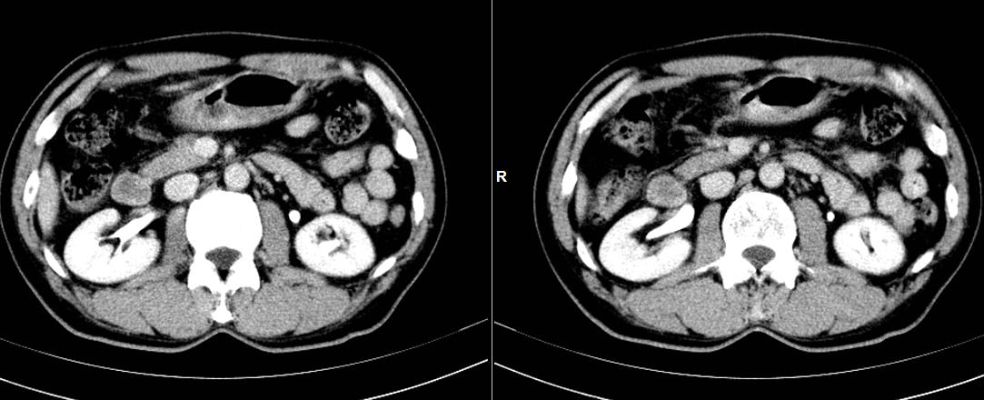
本帖最后由 cefcmj 于 2015-7-26 12:35 编辑 男性,51岁,右上腹痛,B超提示肝内占位。
回复
施明
发表于
2015-7-29 08:37
癌
GAOSHENGJIANG
发表于
2015-7-27 15:02
支持左叶肝癌并肝内转移
支持
收藏
1
sunbin
发表于
2015-7-27 11:33
肝左叶可见多个结节,部分外突,增强呈快进快出,考虑肝癌可能性大。
支持
收藏
1
zjm赵建明
发表于
2015-7-26 20:53
综合考虑肝癌并肝内转移。增强方式不是很典型。再仔细看看门脉左支。临床情况怎么样,AFP高吗?
支持
收藏
1
周芳芳_hvd1b
发表于
2015-7-26 06:58
肝Ca肝内转移
支持
收藏
1
shibing
发表于
2015-7-25 09:12
肝左叶ca。
shibing
发表于
2015-7-25 09:12
肝左叶ca。
学者~『风』
发表于
2015-7-24 23:06
肝左叶ca。
来自安卓客户端
支持
收藏
1
天路人
发表于
2015-7-24 21:44
肝左叶外生性肝癌。
支持
收藏
1
快速回复
返回顶部
返回列表