手机应用
微信
微博
QQ群
普通登陆
QQ登录
找回密码
注册
登录
好友
帖子
收藏
道具
勋章
任务
搜索
搜索
本版
文章
帖子
用户
影像医生
也能
网上问诊
了
首页
社区
BBS
新闻
读片会
影像图库
锐滴达
医影在线
»
社区
›
影像读片
›
CT病例讨论
›
CT50940:头
CT50940:头
查看数:
2196
|
评论数:
12
|
收藏
1
关灯
|
提示:支持键盘翻页<-左 右->
帖子模式
组图打开中,请稍候......
收藏
1
赞同
0
反对
0
kyyx888
发布时间:
2015-7-31 16:02
正文摘要:
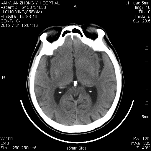
本帖最后由 cefcmj 于 2015-7-31 21:39 编辑 头晕,病变区ct值8Hu 。请各位老师 看看 指教!
回复
Yuejun2001
发表于
2015-8-2 17:10
1)胼胝体病变,考虑胼胝体变性,梗死待排?请详细了解病史,是否有长期 大量饮酒史?
2)左侧基底节区腔隙性脑梗塞。
3)脑萎缩。
支持
1
收藏
1
mnbvcxz1234
发表于
2020-2-25 20:17
胼胝体变性
支持
收藏
1
刘孟楠
发表于
2015-10-30 10:50
支持1)胼胝体变性。2)双侧基底节区多发性腔隙性脑梗塞。3)脑萎缩。
支持
收藏
1
shibing
发表于
2015-8-3 08:28
胼脂体压部变性,考虑酒精中毒性脑病可能
支持
收藏
1
zkc2808
发表于
2015-8-2 22:28
胼脂体压部变性,考虑酒精中毒性脑病可能
支持
收藏
1
摘星空竹子
发表于
2015-8-2 16:23
胼胝体变性
支持
收藏
1
随光逐影
发表于
2015-8-2 10:05
1)胼胝体变性。2)双侧基底节区多发性腔隙性脑梗塞。3)脑萎缩。
支持
收藏
1
731208
发表于
2015-8-1 09:42
胼胝体变性
支持
收藏
1
学者~『风』
发表于
2015-8-1 09:01
胼胝体变性
来自安卓客户端
支持
收藏
1
快速回复
返回顶部
返回列表