手机应用
微信
微博
QQ群
普通登陆
QQ登录
找回密码
注册
登录
好友
帖子
收藏
道具
勋章
任务
搜索
搜索
本版
文章
帖子
用户
影像医生
也能
网上问诊
了
首页
社区
BBS
新闻
读片会
影像图库
锐滴达
医影在线
»
社区
›
影像读片
›
CT病例讨论
›
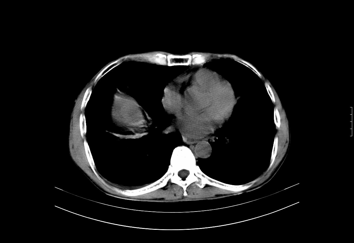
CT50988:体查发现肝脏占位。
CT50988:体查发现肝脏占位。
查看数:
978
|
评论数:
6
|
收藏
0
关灯
|
提示:支持键盘翻页<-左 右->
帖子模式
组图打开中,请稍候......
收藏
0
赞同
0
反对
0
DEQINGCHLF
发布时间:
2015-8-11 15:52
正文摘要:
本帖最后由 cefcmj 于 2015-8-11 18:35 编辑 请老师解释肝门区圆形高密度影。。。。
回复
sunbin
发表于
2015-8-16 15:09
肝实质密度减低,肝内见低密度影,胆囊窝见团状稍高密度影,少量胸腹水,双肾结石,考虑:脂肪肝,肝或胆囊占位,建议增强,
支持
收藏
0
shibing
发表于
2015-8-12 11:16
建议强化
改造社会
发表于
2015-8-12 10:08
胆囊癌并肝内转移,建议强化
支持
收藏
0
muzi888
发表于
2015-8-12 08:48
局灶性脂肪肝可能,建议B超或增强。
支持
收藏
0
施明
发表于
2015-8-12 08:39
增强看看
李世军_fA0E0
发表于
2015-8-12 07:17
做增强
快速回复
返回顶部
返回列表