手机应用
微信
微博
QQ群
普通登陆
QQ登录
找回密码
注册
登录
好友
帖子
收藏
道具
勋章
任务
搜索
搜索
本版
文章
帖子
用户
影像医生
也能
网上问诊
了
首页
社区
BBS
新闻
读片会
影像图库
锐滴达
医影在线
»
社区
›
影像读片
›
CT病例讨论
›
CT50992:SHANG FU BU CT
CT50992:SHANG FU BU CT
查看数:
953
|
评论数:
7
|
收藏
0
关灯
|
提示:支持键盘翻页<-左 右->
帖子模式
组图打开中,请稍候......
收藏
0
赞同
0
反对
0
A495612433
发布时间:
2015-8-12 12:26
正文摘要:
FU BU ZHANG TONG SHU YUE
回复
sunbin
发表于
2015-8-16 14:29
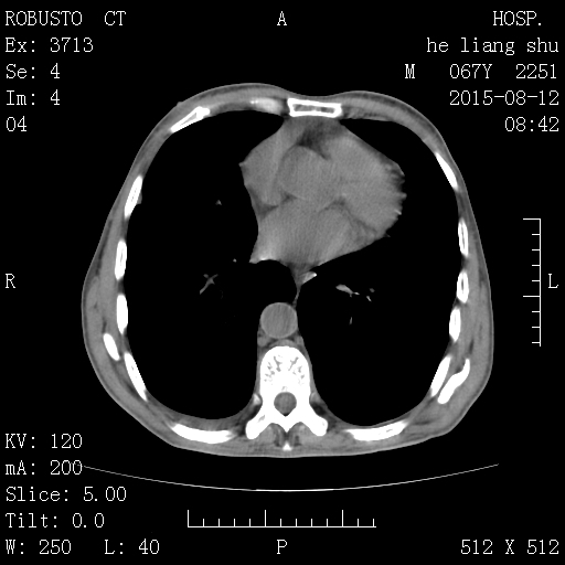
肝内可见多个结节,肝外形欠规则,脾大,肝脾周、肠管间、右侧胸腔、心包均可见液体密度影,心腔密度低于室间隔,考虑结节性肝硬化,不除外肝癌可能,大量腹水,贫血。
支持
收藏
0
改造社会
发表于
2015-8-13 10:45
支持各位
shibing
发表于
2015-8-13 08:36
1、结节性肝硬化,转化为肝癌不除外;
2、腹腔大量积液;
3、脾脏代偿性增大;
4、胸腔积液;
5、心包积液;心腔密度减低,低于室间隔密度,提示贫血;
6、食管下段前壁似增厚,请结合食管镜除外占位可能。
支持
收藏
0
shibing
发表于
2015-8-13 08:36
1、结节性肝硬化,转化为肝癌不除外;
2、腹腔大量积液;
3、脾脏代偿性增大;
4、胸腔积液;
5、心包积液;心腔密度减低,低于室间隔密度,提示贫血;
6、食管下段前壁似增厚,请结合食管镜除外占位可能。
支持
收藏
0
摘星空竹子
发表于
2015-8-12 23:00
1、肝硬化、腹水、门脉高压伴再生结节形成。
2、贫血。
支持
收藏
0
zhengfaming
发表于
2015-8-12 16:10
1、结节性肝硬化,转化为肝癌不除外;
2、腹腔大量积液;
3、脾脏代偿性增大;
4、胸腔积液;
5、心包积液;心腔密度减低,低于室间隔密度,提示贫血;
6、食管下段前壁似增厚,请结合食管镜除外占位可能。
支持
收藏
0
xinliheng001
发表于
2015-8-12 15:29
肝内多发硬化结节、腹水、门脉高压,不排外转化肝癌......也不能增强了吧,腹穿解决问题。
支持
收藏
0
快速回复
返回顶部
返回列表