手机应用
微信
微博
QQ群
普通登陆
QQ登录
找回密码
注册
登录
好友
帖子
收藏
道具
勋章
任务
搜索
搜索
本版
文章
帖子
用户
影像医生
也能
网上问诊
了
首页
社区
BBS
新闻
读片会
影像图库
锐滴达
医影在线
»
社区
›
影像读片
›
CT病例讨论
›
CT51011:会诊:右下腹肿块
CT51011:会诊:右下腹肿块
查看数:
2646
|
评论数:
15
|
收藏
1
关灯
|
提示:支持键盘翻页<-左 右->
帖子模式
组图打开中,请稍候......
收藏
1
赞同
0
反对
0
shuangjidao111
发布时间:
2015-8-14 22:24
正文摘要:
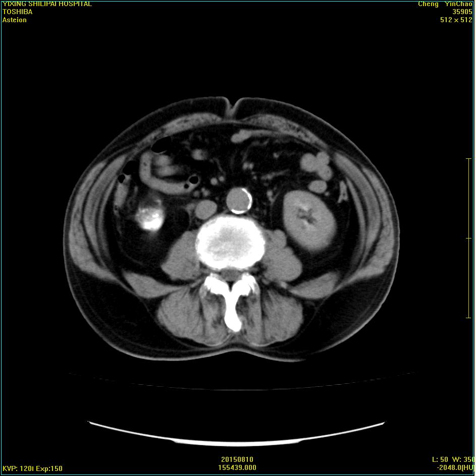
本帖最后由 cefcmj 于 2015-8-16 22:10 编辑 男,77岁,右下腹痛半年余入院。30年前在新疆有阑尾手术切除史。 请问要考虑哪些疾病?目前还没有手术。
回复
mnbvcxz1234
发表于
2020-2-22 20:20
考虑:血肿机化肠粘连、
支持
收藏
1
renming
发表于
2015-8-17 22:22
右下腹可见类圆形低密度占位,边缘钙化,与肠管粘连,
支持
收藏
1
swcta
发表于
2015-8-17 16:54
右下腹脓肿机化并钙化,结肠占位病变
支持
收藏
1
施明
发表于
2015-8-17 10:06
系膜皮样囊肿?
支持
收藏
1
shibing
发表于
2015-8-17 08:39
结肠占位?建议行结肠镜检查。
支持
收藏
1
zzyy
发表于
2015-8-17 08:38
病灶来源于阑尾,周围有钙化,考虑阑尾粘液性囊腺瘤。
支持
收藏
1
蒙面小猪
发表于
2015-8-16 20:39
有没有可能是纱布瘤?
来自安卓客户端
支持
收藏
1
蒙面小猪
发表于
2015-8-16 20:38
有没有可能是纱肿瘤。
来自安卓客户端
支持
收藏
1
难听
发表于
2015-8-16 19:26
慢性脓肿。致因:纱布瘤?
支持
收藏
1
快速回复
返回顶部
返回列表