手机应用
微信
微博
QQ群
普通登陆
QQ登录
找回密码
注册
登录
好友
帖子
收藏
道具
勋章
任务
搜索
搜索
本版
文章
帖子
用户
影像医生
也能
网上问诊
了
首页
社区
BBS
新闻
读片会
影像图库
锐滴达
医影在线
»
社区
›
影像读片
›
CT病例讨论
›
CT51127:胸部CT会诊28243
CT51127:胸部CT会诊28243
查看数:
1141
|
评论数:
4
|
收藏
0
关灯
|
提示:支持键盘翻页<-左 右->
帖子模式
组图打开中,请稍候......
收藏
0
赞同
0
反对
0
vinesion
发布时间:
2015-9-8 09:16
正文摘要:
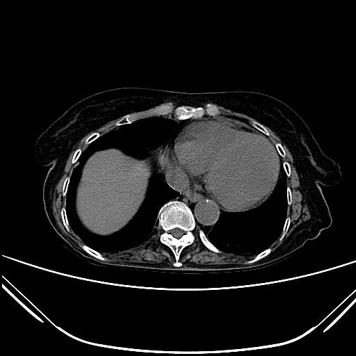
患者:女,74Y,咳嗽1个月,双肺呼吸音粗。求教右肺下叶背段结节病灶性质。
回复
mnbvcxz1234
发表于
2020-2-10 10:59
两肺见少许条索状影,右下肺见胸膜下结节,建议随防,
支持
收藏
0
sunbin
发表于
2015-9-10 11:09
两肺见少许索条结节影,结节位于右肺胸膜下,考虑两肺少许炎症,右下肺结节,建议随访。
支持
收藏
0
天路人
发表于
2015-9-8 18:36
随诊观察。
shibing
发表于
2015-9-8 10:41
消炎复查
快速回复
返回顶部
返回列表