手机应用
微信
微博
QQ群
普通登陆
QQ登录
找回密码
注册
登录
好友
帖子
收藏
道具
勋章
任务
搜索
搜索
本版
文章
帖子
用户
影像医生
也能
网上问诊
了
首页
社区
BBS
新闻
读片会
影像图库
锐滴达
医影在线
»
社区
›
影像读片
›
CT病例讨论
›
CT51135:请会诊,是否是腹腔游离气体?? ...
CT51135:请会诊,是否是腹腔游离气体??
查看数:
1084
|
评论数:
4
|
收藏
0
关灯
|
提示:支持键盘翻页<-左 右->
帖子模式
组图打开中,请稍候......
收藏
0
赞同
1
反对
0
yitong5414
发布时间:
2015-9-9 16:12
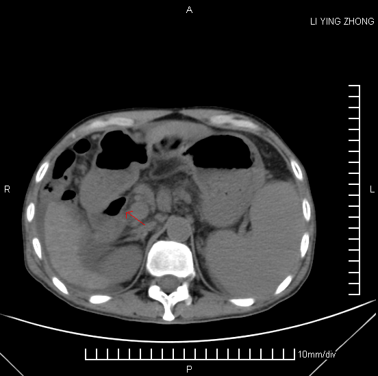
正文摘要:
男性,50岁,肝硬化腹水,突发腹痛、全腹压痛反跳痛明显,查血提示有败血症。请教各位红色箭头部位是否是腹腔游离气体?
回复
leiheku
发表于
2015-9-10 11:41
无
sunbin
发表于
2015-9-10 09:52
考虑肝硬化、脾大、腹水,左下腹前壁见钙化,结合临床。
支持
收藏
0
zkc2808
发表于
2015-9-9 23:51
不是,是肠道气体
支持
收藏
0
shibing
发表于
2015-9-9 17:07
无
快速回复
返回顶部
返回列表