手机应用
微信
微博
QQ群
普通登陆
QQ登录
找回密码
注册
登录
好友
帖子
收藏
道具
勋章
任务
搜索
搜索
本版
文章
帖子
用户
影像医生
也能
网上问诊
了
首页
社区
BBS
新闻
读片会
影像图库
锐滴达
医影在线
»
社区
›
影像读片
›
CT病例讨论
›
CT51137:肾脏CT
CT51137:肾脏CT
查看数:
1135
|
评论数:
7
|
收藏
0
关灯
|
提示:支持键盘翻页<-左 右->
帖子模式
组图打开中,请稍候......
收藏
0
赞同
0
反对
0
ldm1993
发布时间:
2015-9-9 18:02
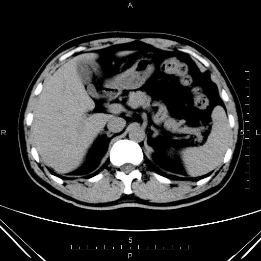
正文摘要:
男,58岁,体检彩超示:1 右肾囊肿 2 右肾上极低回声结节(略向外突出,直径约1.6cm)。
回复
zjm赵建明
发表于
2015-9-12 20:41
支持大家意见,没有特殊情况。
支持
收藏
0
天路人
发表于
2015-9-12 20:33
多发肾囊肿。
支持
收藏
0
arven
发表于
2015-9-12 17:43
囊肿可能性大
支持
收藏
0
随光逐影
发表于
2015-9-10 14:35
1)右肾多发性囊肿。2)腹主动脉钙化。
支持
收藏
0
leiheku
发表于
2015-9-10 11:46
多发肾囊肿
支持
收藏
0
sunbin
发表于
2015-9-10 09:22
右肾内可见多个类圆形不强化低密度影,考虑右肾多发性囊肿可能性大。
支持
收藏
0
shibing
发表于
2015-9-10 08:20
增强
快速回复
返回顶部
返回列表