手机应用
微信
微博
QQ群
普通登陆
QQ登录
找回密码
注册
登录
好友
帖子
收藏
道具
勋章
任务
搜索
搜索
本版
文章
帖子
用户
影像医生
也能
网上问诊
了
首页
社区
BBS
新闻
读片会
影像图库
锐滴达
医影在线
»
社区
›
影像读片
›
CT病例讨论
›
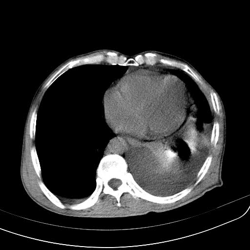
CT51165:男性 62Y 发现血尿一个星期左右; ...
CT51165:男性 62Y 发现血尿一个星期左右;
查看数:
1020
|
评论数:
5
|
收藏
0
关灯
|
提示:支持键盘翻页<-左 右->
帖子模式
组图打开中,请稍候......
收藏
0
赞同
0
反对
0
康居士
发布时间:
2015-9-16 12:45
正文摘要:
回复
摘星空竹子
发表于
2015-9-20 22:54
建议增强扫描
支持
收藏
0
leiheku
发表于
2015-9-17 10:57
可胰尾肿瘤?建议增强
支持
收藏
0
leiheku
发表于
2015-9-17 10:54
小肠间质瘤?伴腹内胸腔及心包转移,并压迫或转移左肾导致肉眼血尿?建议肠镜
支持
收藏
0
sunbin
发表于
2015-9-17 09:23
两侧胸腔积液,左侧尤著,左下肺膨胀不全,心包积液,左肾中上极见结节高密度影及类圆形低密度影,左肾内外似见混杂低密度,考虑左肾结石,左肾囊肿,左肾积液?建议增强,排除左肾占位。
支持
收藏
0
shibing
发表于
2015-9-16 15:42
增强
快速回复
返回顶部
返回列表