手机应用
微信
微博
QQ群
普通登陆
QQ登录
找回密码
注册
登录
好友
帖子
收藏
道具
勋章
任务
搜索
搜索
本版
文章
帖子
用户
影像医生
也能
网上问诊
了
首页
社区
BBS
新闻
读片会
影像图库
锐滴达
医影在线
»
社区
›
影像读片
›
X线病例讨论
›
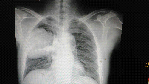
X13823:男,63,神内科病人,肺内占位?
X13823:男,63,神内科病人,肺内占位?
查看数:
2406
|
评论数:
13
|
收藏
1
关灯
|
提示:支持键盘翻页<-左 右->
帖子模式
组图打开中,请稍候......
收藏
1
赞同
1
反对
0
manyu115
发布时间:
2015-9-16 17:04
正文摘要:
常规检查发现,没做CT
回复
mnbvcxz1234
发表于
2019-1-25 08:57
右俩中下叶偏后见臣大肿块,边缘较光整浅分叶,右侧叶间裂增厚,考虑:右位点位,肺癌可能性大,右侧胸膜叶间裂积液。
支持
收藏
1
刘孟楠
发表于
2015-11-3 10:49
右肺中叶见肿块影、有毛刺、叶间裂增宽、考虑占位、建议CT
支持
收藏
1
gmc8819891
发表于
2015-10-20 20:57
右肺上叶后段团块状软组织密度影,边缘清楚并见分叶,下缘以叶间裂为界,右肺水平裂增宽、密度增高均匀,余肺野未见实质性病变,心影形态大小未见明显异常,两侧膈面光滑,肋膈角锐利。老年男性患者,考虑右肺上叶占位性病变,肺癌可能性大,右肺叶间积液。建议CT检查。
支持
收藏
1
lyming00
发表于
2015-10-19 19:48
右肺中下叶偏后可见巨大肿块,浅分叶,右侧叶间裂积液,考虑右肺巨大占位------肺癌侵犯胸膜?不排除肺肉瘤,建议CT检查。
支持
收藏
1
zhangkening
发表于
2015-10-1 18:06
首先这是肺内团块状影,老年人,还是考虑肺内占位性病变。
支持
收藏
1
景怡
发表于
2015-9-28 20:40
占位,,建议CT。
支持
收藏
1
xx20361
发表于
2015-9-21 09:13
首先考虑占位。建议CT。
支持
收藏
1
wuyipeng0418
发表于
2015-9-19 14:55
合并周围炎症。
支持
收藏
1
wuyipeng0418
发表于
2015-9-19 14:55
张力性占位,边缘光,提示囊性病变或包裹性积液。
支持
收藏
1
快速回复
返回顶部
返回列表