手机应用
微信
微博
QQ群
普通登陆
QQ登录
找回密码
注册
登录
好友
帖子
收藏
道具
勋章
任务
搜索
搜索
本版
文章
帖子
用户
影像医生
也能
网上问诊
了
首页
社区
BBS
新闻
读片会
影像图库
锐滴达
医影在线
»
社区
›
影像读片
›
CT病例讨论
›
CT51172:股骨
CT51172:股骨
查看数:
1327
|
评论数:
5
|
收藏
0
关灯
|
提示:支持键盘翻页<-左 右->
帖子模式
组图打开中,请稍候......
收藏
0
赞同
0
反对
0
liuxiaolei12
发布时间:
2015-9-27 11:31
正文摘要:
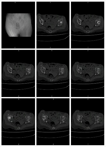
女,87 二十天前摔伤
回复
guohong3386
发表于
2015-10-3 09:23
建议核磁
jiangmin
发表于
2015-9-28 18:44
右侧股骨颈骨折
支持
收藏
0
sunbin
发表于
2015-9-28 17:27
右股骨头颈短缩,股骨头密度高低不均,关节囊积液,周围软组织肿胀,考虑 右股骨头颈坎顿性骨折伴关节囊积液,建议结合临床,MRI检查。
支持
收藏
0
shibing
发表于
2015-9-28 07:54
mri
rongjiang
发表于
2015-9-27 14:54
右股骨头颈变短并成角畸形,骨质内见高低密度影,周围软组织肿胀内见更低密度影,会不会是骨TB并骨折
来自安卓客户端
支持
收藏
0
快速回复
返回顶部
返回列表