手机应用
微信
微博
QQ群
普通登陆
QQ登录
找回密码
注册
登录
好友
帖子
收藏
道具
勋章
任务
搜索
搜索
本版
文章
帖子
用户
影像医生
也能
网上问诊
了
首页
社区
BBS
新闻
读片会
影像图库
锐滴达
医影在线
»
社区
›
影像读片
›
MRI病例讨论
›
MRI6833:头颅MRI
MRI6833:头颅MRI
查看数:
2270
|
评论数:
16
|
收藏
1
关灯
|
提示:支持键盘翻页<-左 右->
帖子模式
组图打开中,请稍候......
收藏
1
赞同
0
反对
0
zzyy
发布时间:
2015-11-17 09:58
正文摘要:
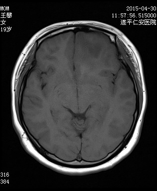
【结果公布】 女,19岁,头痛恶心一周余,CT显示头颅占位。
回复
jhbfxk
发表于
2015-12-16 11:50
左侧额叶占位;多为肿瘤性病变,胶质瘤可能
支持
收藏
1
施明
发表于
2015-11-26 09:11
占位
swcta
发表于
2015-11-25 11:06
考虑星形胶质细胞瘤
支持
收藏
1
难听
发表于
2015-11-24 20:27
胶母
程思念
发表于
2015-11-23 20:19
3-4级胶质瘤可能性大
支持
收藏
1
天路人
发表于
2015-11-23 17:42
谢谢!
改造社会
发表于
2015-11-23 15:17
病理结果 胶质母细胞瘤
支持
收藏
1
pujunzhi
发表于
2015-11-22 16:46
考虑 III级-IV级星形细胞瘤可能性大。
支持
收藏
1
赵毅_kc0Jm
发表于
2015-11-22 15:56
星形胶质细胞瘤III级
支持
收藏
1
快速回复
返回顶部
返回列表