手机应用
微信
微博
QQ群
普通登陆
QQ登录
找回密码
注册
登录
好友
帖子
收藏
道具
勋章
任务
搜索
搜索
本版
文章
帖子
用户
影像医生
也能
网上问诊
了
首页
社区
BBS
新闻
读片会
影像图库
锐滴达
医影在线
»
社区
›
影像读片
›
CT病例讨论
›
CT51347:男,82 岁,有痛风病史,跌倒致左膝部疼3天 ...
CT51347:男,82 岁,有痛风病史,跌倒致左膝部疼3天
查看数:
1494
|
评论数:
7
|
收藏
0
关灯
|
提示:支持键盘翻页<-左 右->
帖子模式
组图打开中,请稍候......
收藏
0
赞同
0
反对
0
skc
发布时间:
2015-11-22 11:04
正文摘要:
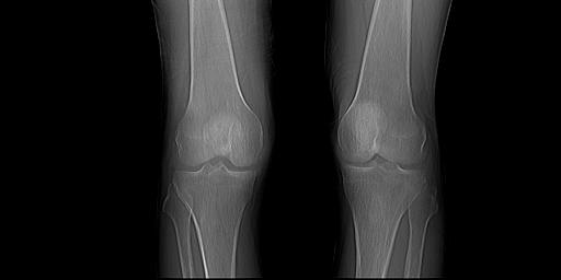
男,82 岁,有痛风病史,跌倒致左膝部疼3天,请会诊。
回复
sunbin
发表于
2015-11-24 14:15
考虑膝关节痛风性关节炎,退变,关节囊积液,半月板钙化。
支持
收藏
0
改造社会
发表于
2015-11-23 14:35
膝关节痛风性关节炎,骨性关节炎,骨囊肿,股骨远端不完全性纵型骨折不排除
支持
收藏
0
孙寻序
发表于
2015-11-23 12:44
支持2楼
shibing
发表于
2015-11-23 09:17
1)(右/左?)膝关节痛风性关节炎(痛风石形成)。2)(右/左?)膝关节骨性关节炎,伴(右/左?)胫骨上端邻关节囊肿、(右/左?)膝关节内外侧半月板钙化。3)(右/左?)膝关节积液。4)(右/左?)腘动脉钙化。5)(右/左?)膝关节周围软组织肿胀。
支持
收藏
0
摘星空竹子
发表于
2015-11-22 22:02
支持2楼见解。
支持
收藏
0
天路人
发表于
2015-11-22 19:10
支持2楼见解。另:股骨下端后方撕脱骨折不排除。
支持
收藏
0
随光逐影
发表于
2015-11-22 16:59
1)(右/左?)膝关节痛风性关节炎(痛风石形成)。2)(右/左?)膝关节骨性关节炎,伴(右/左?)胫骨上端邻关节囊肿、(右/左?)膝关节内外侧半月板钙化。3)(右/左?)膝关节积液。4)(右/左?)腘动脉钙化。5)(右/左?)膝关节周围软组织肿胀。
支持
收藏
0
快速回复
返回顶部
返回列表