手机应用
微信
微博
QQ群
普通登陆
QQ登录
找回密码
注册
登录
好友
帖子
收藏
道具
勋章
任务
搜索
搜索
本版
文章
帖子
用户
影像医生
也能
网上问诊
了
首页
社区
BBS
新闻
读片会
影像图库
锐滴达
医影在线
»
社区
›
影像读片
›
儿科病例
›
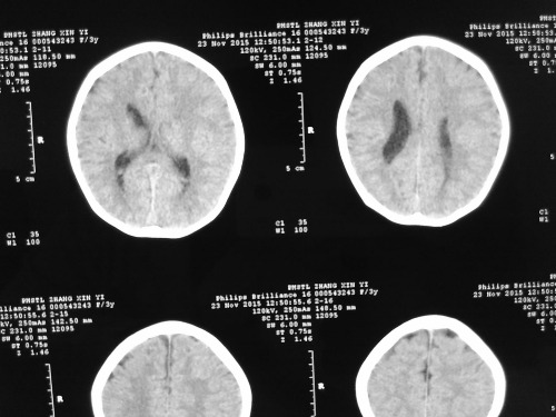
PED5224:3岁女孩。
PED5224:3岁女孩。
查看数:
1224
|
评论数:
1
|
收藏
0
关灯
|
提示:支持键盘翻页<-左 右->
帖子模式
组图打开中,请稍候......
收藏
0
赞同
0
反对
0
marcony2009
发布时间:
2015-11-23 13:29
正文摘要:
3岁女孩,多动症,左侧脑室前角发育不良,MRI显示侧脑室内异常信号,T1高信号,T2低信号,压脂低信号。
回复
sunbin
发表于
2015-11-27 10:27
考虑左侧侧脑室粘合可能。
支持
收藏
0
快速回复
返回顶部
返回列表