手机应用
微信
微博
QQ群
普通登陆
QQ登录
找回密码
注册
登录
好友
帖子
收藏
道具
勋章
任务
搜索
搜索
本版
文章
帖子
用户
影像医生
也能
网上问诊
了
首页
社区
BBS
新闻
读片会
影像图库
锐滴达
医影在线
»
社区
›
影像读片
›
X线病例讨论
›
X13860:典型病例
X13860:典型病例
查看数:
2936
|
评论数:
15
|
收藏
1
关灯
|
提示:支持键盘翻页<-左 右->
帖子模式
组图打开中,请稍候......
收藏
1
赞同
1
反对
0
ZHANGZHONGSHOU
发布时间:
2015-12-3 23:03
正文摘要:
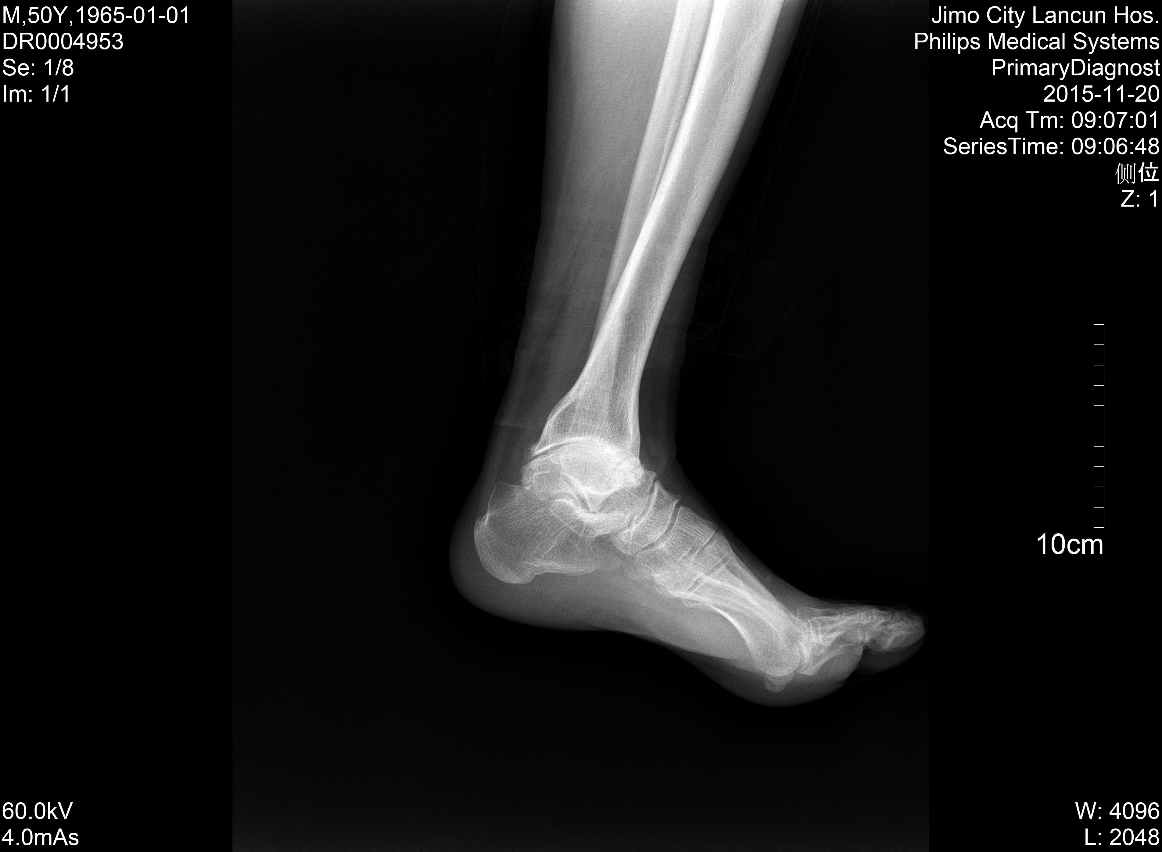
前些天,巡查病例发现,较为典型,上传共享.
回复
陈伟超
发表于
2016-1-15 08:03
大骨节病
在笑一方
发表于
2015-12-17 19:51
大骨节病
来自安卓客户端
支持
收藏
1
lyming00
发表于
2015-12-17 18:11
胫骨远端膨大,胫距关节面不规整,距骨变扁密度增高,跟骨短小,考虑踝关节大骨关节病。
支持
收藏
1
自由鸟
发表于
2015-12-16 15:38
大骨节病
sunbin
发表于
2015-12-16 10:03
胫骨远端膨大,胫距关节面不规整,距骨变扁密度增高,跟骨短小,考虑踝关节大骨关节病。
支持
收藏
1
学者~『风』
发表于
2015-12-12 09:45
大骨节病
来自安卓客户端
支持
收藏
1
施明
发表于
2015-12-10 10:31
大骨节病
shibing
发表于
2015-12-8 15:17
典型大骨节病
支持
收藏
1
xuejs
发表于
2015-12-8 15:05
考虑大骨节病
支持
收藏
1
快速回复
返回顶部
返回列表