手机应用
微信
微博
QQ群
普通登陆
QQ登录
找回密码
注册
登录
好友
帖子
收藏
道具
勋章
任务
搜索
搜索
本版
文章
帖子
用户
影像医生
也能
网上问诊
了
首页
社区
BBS
新闻
读片会
影像图库
锐滴达
医影在线
»
社区
›
影像读片
›
CT病例讨论
›
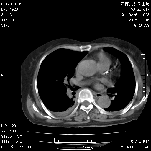
CT51427:患者 f 60Y 发热 腹痛三天
CT51427:患者 f 60Y 发热 腹痛三天
查看数:
989
|
评论数:
6
|
收藏
0
关灯
|
提示:支持键盘翻页<-左 右->
帖子模式
组图打开中,请稍候......
收藏
0
赞同
0
反对
0
lantian0711
发布时间:
2015-12-15 10:30
正文摘要:
本帖最后由 cefcmj 于 2015-12-15 18:12 编辑 右侧胸腔积液, 急性胆囊炎? 请老师们指点?
回复
shibing
发表于
2015-12-16 15:15
急性化脓性胆囊炎,腹水,双侧胸腔少量积液
支持
收藏
0
muzi888
发表于
2015-12-16 09:26
急性化脓性胆囊炎,腹水,双侧胸腔少量积液
支持
收藏
0
摘星空竹子
发表于
2015-12-15 21:39
急性胆囊炎,腹水,双侧胸腔积液。
支持
收藏
0
天路人
发表于
2015-12-15 18:36
急性胆囊炎,腹水,双侧胸腔积液。
支持
收藏
0
leiheku
发表于
2015-12-15 16:41
急性化脓性胆囊炎,腹水,双侧胸腔少量积液
支持
收藏
0
muzi888
发表于
2015-12-15 15:45
急性胆囊炎,腹水,双侧胸腔积液。
支持
收藏
0
快速回复
返回顶部
返回列表