手机应用
微信
微博
QQ群
普通登陆
QQ登录
找回密码
注册
登录
好友
帖子
收藏
道具
勋章
任务
搜索
搜索
本版
文章
帖子
用户
影像医生
也能
网上问诊
了
首页
社区
BBS
新闻
读片会
影像图库
锐滴达
医影在线
»
社区
›
影像读片
›
CT病例讨论
›
CT51466:盆腔CT
CT51466:盆腔CT
查看数:
989
|
评论数:
5
|
收藏
1
关灯
|
提示:支持键盘翻页<-左 右->
帖子模式
组图打开中,请稍候......
收藏
1
赞同
0
反对
0
ldm1993
发布时间:
2015-12-26 12:08
正文摘要:
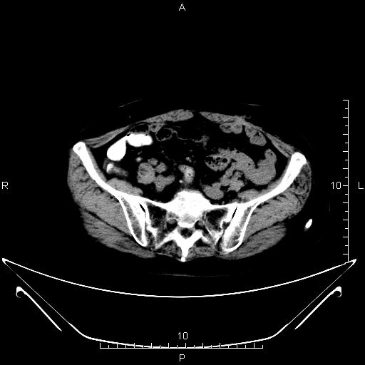
本帖最后由 cefcmj 于 2015-12-26 21:33 编辑 女,72岁,直肠癌术后半年CT检查。
回复
重庆格林
发表于
2016-3-17 21:42
1)直肠术后改变。2)骶前筋膜明显增厚,且与直肠后壁(相当于直肠吻合口处)带状软组织密度影相连,增强后轻度强化;考虑肿瘤侵犯(转移)所致。
支持
收藏
1
shibing
发表于
2015-12-28 09:41
考虑吻合口复发
支持
收藏
1
改造社会
发表于
2015-12-28 08:13
考虑吻合口复发
支持
收藏
1
天路人
发表于
2015-12-26 17:54
吻合口上段可疑复发,建议行肠镜进一步观察。
支持
收藏
1
随光逐影
发表于
2015-12-26 13:07
1)直肠术后改变。2)骶前筋膜明显增厚,且与直肠后壁(相当于直肠吻合口处)带状软组织密度影相连,增强后轻度强化;考虑肿瘤侵犯(转移)所致。
支持
收藏
1
快速回复
返回顶部
返回列表