手机应用
微信
微博
QQ群
普通登陆
QQ登录
找回密码
注册
登录
好友
帖子
收藏
道具
勋章
任务
搜索
搜索
本版
文章
帖子
用户
影像医生
也能
网上问诊
了
首页
社区
BBS
新闻
读片会
影像图库
锐滴达
医影在线
»
社区
›
影像读片
›
CT病例讨论
›
CT51546:请会诊,病人,男,88岁。
CT51546:请会诊,病人,男,88岁。
查看数:
1081
|
评论数:
6
|
收藏
1
关灯
|
提示:支持键盘翻页<-左 右->
帖子模式
组图打开中,请稍候......
收藏
1
赞同
0
反对
0
lixiaohong8983
发布时间:
2016-1-19 14:11
正文摘要:
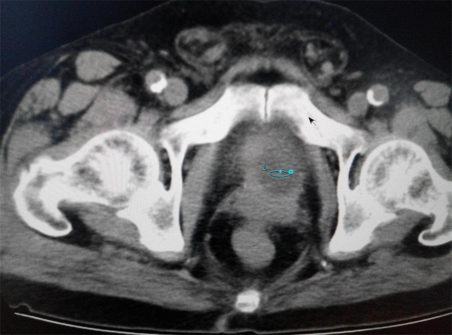
本帖最后由 cefcmj 于 2016-1-19 20:59 编辑 病人前列腺癌术后,出现血尿,麻烦各位老师看看膀胱和肾脏。
回复
liuqiang
发表于
2016-1-20 09:52
1)前列腺术后改变。
2)双侧肾脏萎缩并双肾多发囊肿。
3)膀胱下壁略厚(考虑累及可能)、进一步MRI检查。
支持
1
收藏
1
sunbin
发表于
2016-1-29 15:04
左肾多发性囊性占位,膀胱左后壁稍增厚,左侧精囊腺变小,考虑:前列腺癌术后,膀胱精囊腺受浸?左肾囊肿可能性大。
支持
收藏
1
shibing
发表于
2016-1-20 08:20
建议增强进一步检查
支持
收藏
1
huhongying
发表于
2016-1-19 20:41
左肾占位性病变,建议增强进一步检查
支持
收藏
1
天路人
发表于
2016-1-19 17:36
增强.
改造社会
发表于
2016-1-19 16:44
前列腺癌复发伴左肾转移,建议增强
支持
收藏
1
快速回复
返回顶部
返回列表