手机应用
微信
微博
QQ群
普通登陆
QQ登录
找回密码
注册
登录
好友
帖子
收藏
道具
勋章
任务
搜索
搜索
本版
文章
帖子
用户
影像医生
也能
网上问诊
了
首页
社区
BBS
新闻
读片会
影像图库
锐滴达
医影在线
»
社区
›
影像读片
›
CT病例讨论
›
CT51599:颅脑
CT51599:颅脑
查看数:
916
|
评论数:
8
|
收藏
0
关灯
|
提示:支持键盘翻页<-左 右->
帖子模式
组图打开中,请稍候......
收藏
0
赞同
0
反对
0
草上飞.
发布时间:
2016-2-9 10:51
正文摘要:
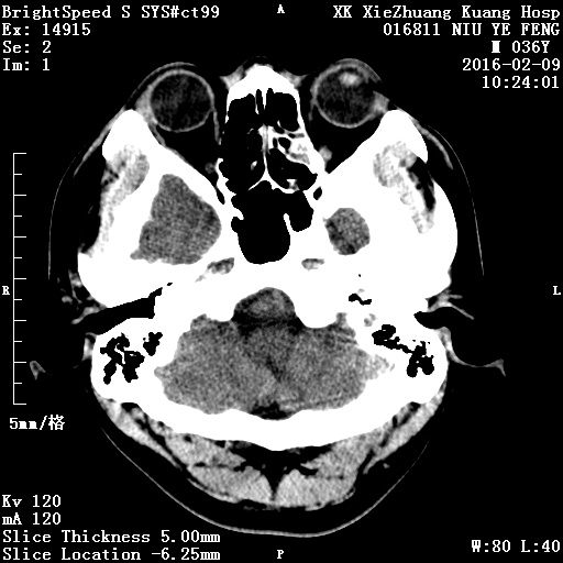
本帖最后由 cefcmj 于 2016-2-10 19:48 编辑 同行们,过年好。昨日凌晨2点突发头痛,意识清楚,肢体无障碍,自行骑车前来就诊。有肿瘤性出血可能吗?
回复
摘星空竹子
发表于
2016-2-9 22:23
右侧枕叶血肿,年轻人多为血管畸形所致,建议MRI检查。
支持
1
收藏
0
sunbin
发表于
2016-2-14 14:09
右侧枕叶可见团块状、斑点状高密度影,无明显水肿及占位效应,考虑:右侧枕叶血肿(血管畸形所致)。
支持
收藏
0
xiaotunshaoyi
发表于
2016-2-13 09:33
1、右侧枕叶血肿,周围轻度水肿,考虑蛛网膜下出血可能,建议进一步检查。血管畸形?2、左侧筛窦炎症。
支持
收藏
0
宇宙CT
发表于
2016-2-12 17:31
右侧枕叶血肿(不排除脑血管畸形所致可能)。
建议:行CTA或DSA检查。
支持!
支持
收藏
0
shibing
发表于
2016-2-12 08:34
考虑血管畸形出血建议CTA或MRA吧 询问是否右高血压病史
支持
收藏
0
Jerboa
发表于
2016-2-9 21:59
考虑血管畸形出血建议CTA或MRA吧 询问是否右高血压病史
支持
收藏
0
天路人
发表于
2016-2-9 19:42
支持楼上。
随光逐影
发表于
2016-2-9 14:48
右侧枕叶血肿(不排除脑血管畸形所致可能)。
建议:行CTA或DSA检查。
支持
收藏
0
快速回复
返回顶部
返回列表