手机应用
微信
微博
QQ群
普通登陆
QQ登录
找回密码
注册
登录
好友
帖子
收藏
道具
勋章
任务
搜索
搜索
本版
文章
帖子
用户
影像医生
也能
网上问诊
了
首页
社区
BBS
新闻
读片会
影像图库
锐滴达
医影在线
»
社区
›
影像读片
›
CT病例讨论
›
CT51645:盆腔CT
CT51645:盆腔CT
查看数:
798
|
评论数:
2
|
收藏
0
关灯
|
提示:支持键盘翻页<-左 右->
帖子模式
组图打开中,请稍候......
收藏
0
赞同
0
反对
0
ldm1993
发布时间:
2016-3-8 20:56
正文摘要:
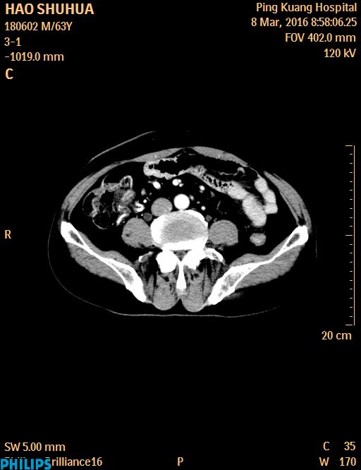
男,63岁,膀胱癌术后1年,发现左腹股沟肿物3个月。
回复
xiaotunshaoyi
发表于
2016-3-9 14:29
腹壁疝下方软组织密度局部肿块,部分增强,转移?
支持
收藏
0
shibing
发表于
2016-3-9 07:50
mri
快速回复
返回顶部
返回列表