手机应用
微信
微博
QQ群
普通登陆
QQ登录
找回密码
注册
登录
好友
帖子
收藏
道具
勋章
任务
搜索
搜索
本版
文章
帖子
用户
影像医生
也能
网上问诊
了
首页
社区
BBS
新闻
读片会
影像图库
锐滴达
医影在线
»
社区
›
影像读片
›
CT病例讨论
›
CT51668:80,糖尿病食欲减退
CT51668:80,糖尿病食欲减退
查看数:
654
|
评论数:
2
|
收藏
0
关灯
|
提示:支持键盘翻页<-左 右->
帖子模式
组图打开中,请稍候......
收藏
0
赞同
0
反对
0
asyzhky
发布时间:
2016-3-15 15:10
正文摘要:
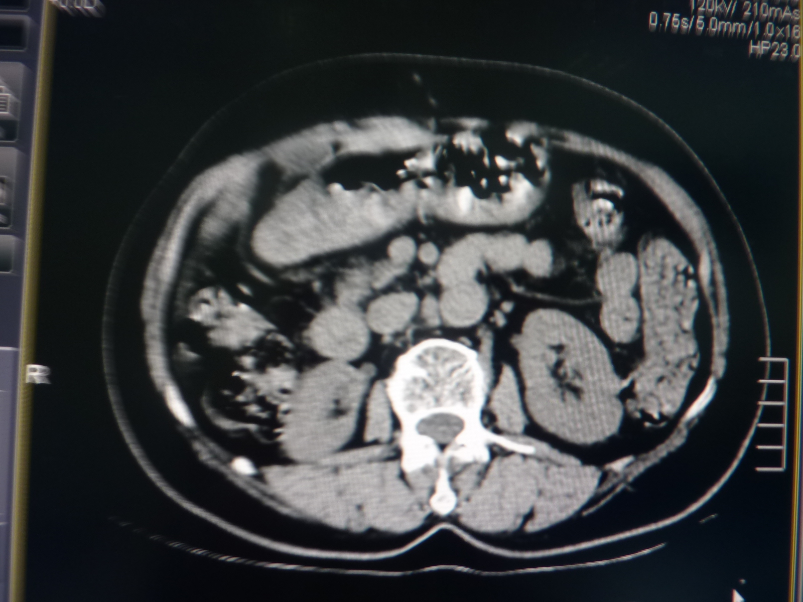
超声疑肝内占位?没看见病灶,脂肪肝,胆囊结石
回复
shibing
发表于
2016-3-16 08:40
建议增强。
天路人
发表于
2016-3-15 19:16
既然超声疑肝内占位,那么,还是完善影像检查后,在定论吧,建议增强。
支持
收藏
0
快速回复
返回顶部
返回列表