手机应用
微信
微博
QQ群
普通登陆
QQ登录
找回密码
注册
登录
好友
帖子
收藏
道具
勋章
任务
搜索
搜索
本版
文章
帖子
用户
影像医生
也能
网上问诊
了
首页
社区
BBS
新闻
读片会
影像图库
锐滴达
医影在线
»
社区
›
影像读片
›
CT病例讨论
›
CT51909:上腹部CT,请会诊!
CT51909:上腹部CT,请会诊!
查看数:
845
|
评论数:
8
|
收藏
1
关灯
|
提示:支持键盘翻页<-左 右->
帖子模式
组图打开中,请稍候......
收藏
1
赞同
0
反对
0
ldm1993
发布时间:
2016-5-5 18:50
正文摘要:
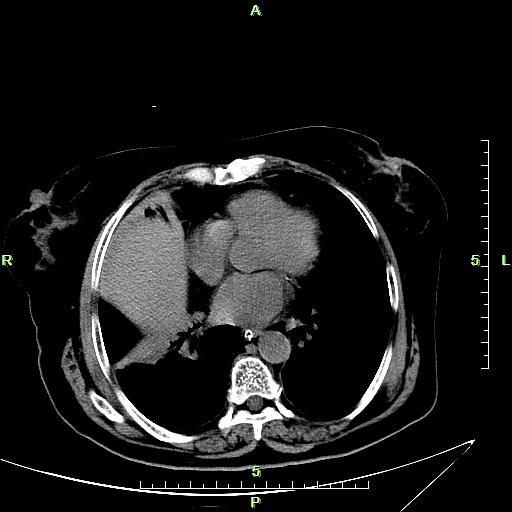
本帖最后由 cefcmj 于 2016-5-5 22:38 编辑 女,70岁,右上腹疼痛5天伴发热。
回复
mnbvcxz1234
发表于
2020-2-1 19:25
肝右叶见低密度影,胆囊壁增厚且强化,周围见低密度影,未见强化,右侧胸腔少量积液,考虑:1.肝右叶囊肿。2.急性胆囊炎伴胆囊窝积液。3.右侧胸腔积液。
支持
收藏
1
shibing
发表于
2016-5-9 13:51
考虑:胆囊癌累及肝脏可能。
支持
收藏
1
sunbin
发表于
2016-5-9 10:25
肝右叶见低密度影,胆囊壁增厚且强化,周围见低密度影,未见强化,右侧胸腔积液。考虑:急性胆囊炎伴胆囊窝积液,肝右叶囊肿,右侧胸腔积液。
支持
收藏
1
重庆格林
发表于
2016-5-6 20:25
急性化脓性胆囊炎伴胆囊窝少量积液。
支持
收藏
1
改造社会
发表于
2016-5-6 09:59
急性化脓性胆囊炎或胆囊癌,结合临床
支持
收藏
1
皖北医院
发表于
2016-5-6 08:51
胆囊壁不均匀增厚,胆囊窝区肝脏密度减低,强化不均匀,考虑:胆囊癌累及肝脏可能。
支持
收藏
1
zhengfaming
发表于
2016-5-6 07:39
1、支持急性胆囊炎并胆囊窝积液;
2、肝右叶小囊肿;
3、右肺下叶肺不张可能,右侧胸腔积液;
支持
收藏
1
天路人
发表于
2016-5-5 20:53
急性化脓性胆囊炎伴胆囊窝少量积液。
支持
收藏
1
快速回复
返回顶部
返回列表