手机应用
微信
微博
QQ群
普通登陆
QQ登录
找回密码
注册
登录
好友
帖子
收藏
道具
勋章
任务
搜索
搜索
本版
文章
帖子
用户
影像医生
也能
网上问诊
了
首页
社区
BBS
新闻
读片会
影像图库
锐滴达
医影在线
»
社区
›
影像读片
›
CT病例讨论
›
CT51913:腹主动脉夹层?
CT51913:腹主动脉夹层?
查看数:
1026
|
评论数:
8
|
收藏
1
关灯
|
提示:支持键盘翻页<-左 右->
帖子模式
组图打开中,请稍候......
收藏
1
赞同
0
反对
0
zxczxc
发布时间:
2016-5-6 19:24
正文摘要:
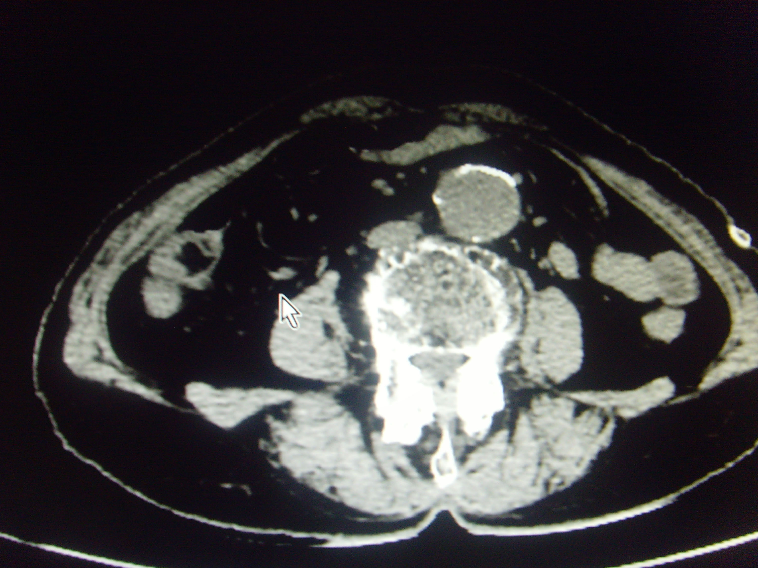
本帖最后由 cefcmj 于 2016-5-7 21:44 编辑 女,73岁,右下腹疼痛,腹主动脉夹层?
回复
mnbvcxz1234
发表于
2020-2-1 18:55
腹主动脉扩大,钙斑内移,相当盲肠内侧见弯曲细管状影,末端见高密度结节,考虑:腹主动脉夹层,粪石性阑尾炎?
支持
收藏
1
shibing
发表于
2016-5-9 13:47
支持主动脉夹层。
支持
收藏
1
皖北医院
发表于
2016-5-8 20:09
支持主动脉夹层。
支持
收藏
1
张承虎_k3EYA
发表于
2016-5-8 13:07
支持楼上
hamagl2015
发表于
2016-5-7 17:11
支持主动脉夹层。
来自安卓客户端
支持
收藏
1
sunbin
发表于
2016-5-7 17:05
腹主动脉扩大,钙斑内移,相当盲肠内侧见弯曲细管状影,末端见高密度结节,考虑:腹主动脉夹层,粪石性阑尾炎?
支持
收藏
1
改造社会
发表于
2016-5-7 10:37
支持楼主
天路人
发表于
2016-5-6 20:01
支持主动脉夹层。另:粪石性阑尾炎不排除。
支持
收藏
1
快速回复
返回顶部
返回列表