手机应用
微信
微博
QQ群
普通登陆
QQ登录
找回密码
注册
登录
好友
帖子
收藏
道具
勋章
任务
搜索
搜索
本版
文章
帖子
用户
影像医生
也能
网上问诊
了
首页
社区
BBS
新闻
读片会
影像图库
锐滴达
医影在线
»
社区
›
教育专区
›
典型病例
›
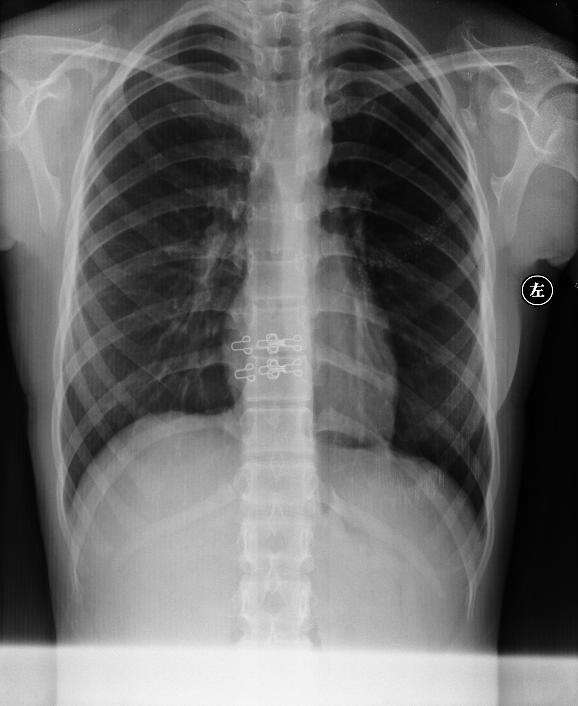
CL2917:肩胛骨多发骨软骨瘤.
CL2917:肩胛骨多发骨软骨瘤.
查看数:
1843
|
评论数:
1
|
收藏
0
关灯
|
提示:支持键盘翻页<-左 右->
帖子模式
组图打开中,请稍候......
收藏
0
赞同
0
反对
0
新竹平易
发布时间:
2016-5-16 02:20
正文摘要:
女,16岁.
回复
shibing
发表于
2016-5-16 07:11
肩胛骨多发骨软骨瘤
支持
收藏
0
快速回复
返回顶部
返回列表