手机应用
微信
微博
QQ群
普通登陆
QQ登录
找回密码
注册
登录
好友
帖子
收藏
道具
勋章
任务
搜索
搜索
本版
文章
帖子
用户
影像医生
也能
网上问诊
了
首页
社区
BBS
新闻
读片会
影像图库
锐滴达
医影在线
»
社区
›
影像读片
›
CT病例讨论
›
CT51815:颅骨病变
CT51815:颅骨病变
查看数:
1422
|
评论数:
10
|
收藏
1
关灯
|
提示:支持键盘翻页<-左 右->
帖子模式
组图打开中,请稍候......
收藏
1
赞同
0
反对
0
lzfazsw
发布时间:
2016-5-28 00:21
正文摘要:
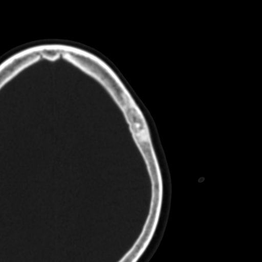
本帖最后由 cefcmj 于 2016-5-28 10:15 编辑 患者女,58岁,因头晕呕吐来做CT检查,检查示脑病未见明显异常;左侧颞骨局限性骨质异常改变,本人认为骨纤维异常增殖症,请 ...
回复
x123456x
发表于
2016-6-29 16:18
骨纤维异常增生
来自安卓客户端
支持
收藏
1
西街生活
发表于
2016-6-29 09:56
支持骨纤
llh913
发表于
2016-5-30 09:25
骨纤维异常增殖症
支持
收藏
1
天路人
发表于
2016-5-29 20:56
支持骨纤
shibing
发表于
2016-5-29 16:23
符合颅骨骨纤维异常增殖症表现。
支持
收藏
1
改造社会
发表于
2016-5-29 08:46
支持骨纤
摘星空竹子
发表于
2016-5-28 23:56
骨纤维异常增殖症
支持
收藏
1
zkc2808
发表于
2016-5-28 10:59
骨纤维异常增殖症
来自安卓客户端
支持
收藏
1
zhengfaming
发表于
2016-5-28 08:33
病灶呈膨胀性,并见硬化,未累及内板,支持骨纤诊断。
支持
收藏
1
快速回复
返回顶部
返回列表