手机应用
微信
微博
QQ群
普通登陆
QQ登录
找回密码
注册
登录
好友
帖子
收藏
道具
勋章
任务
搜索
搜索
本版
文章
帖子
用户
影像医生
也能
网上问诊
了
首页
社区
BBS
新闻
读片会
影像图库
锐滴达
医影在线
»
社区
›
影像读片
›
CT病例讨论
›
CT51987:盆腔什么病变
CT51987:盆腔什么病变
查看数:
754
|
评论数:
4
|
收藏
0
关灯
|
提示:支持键盘翻页<-左 右->
帖子模式
组图打开中,请稍候......
收藏
0
赞同
0
反对
0
zxczxc
发布时间:
2016-7-18 19:40
正文摘要:
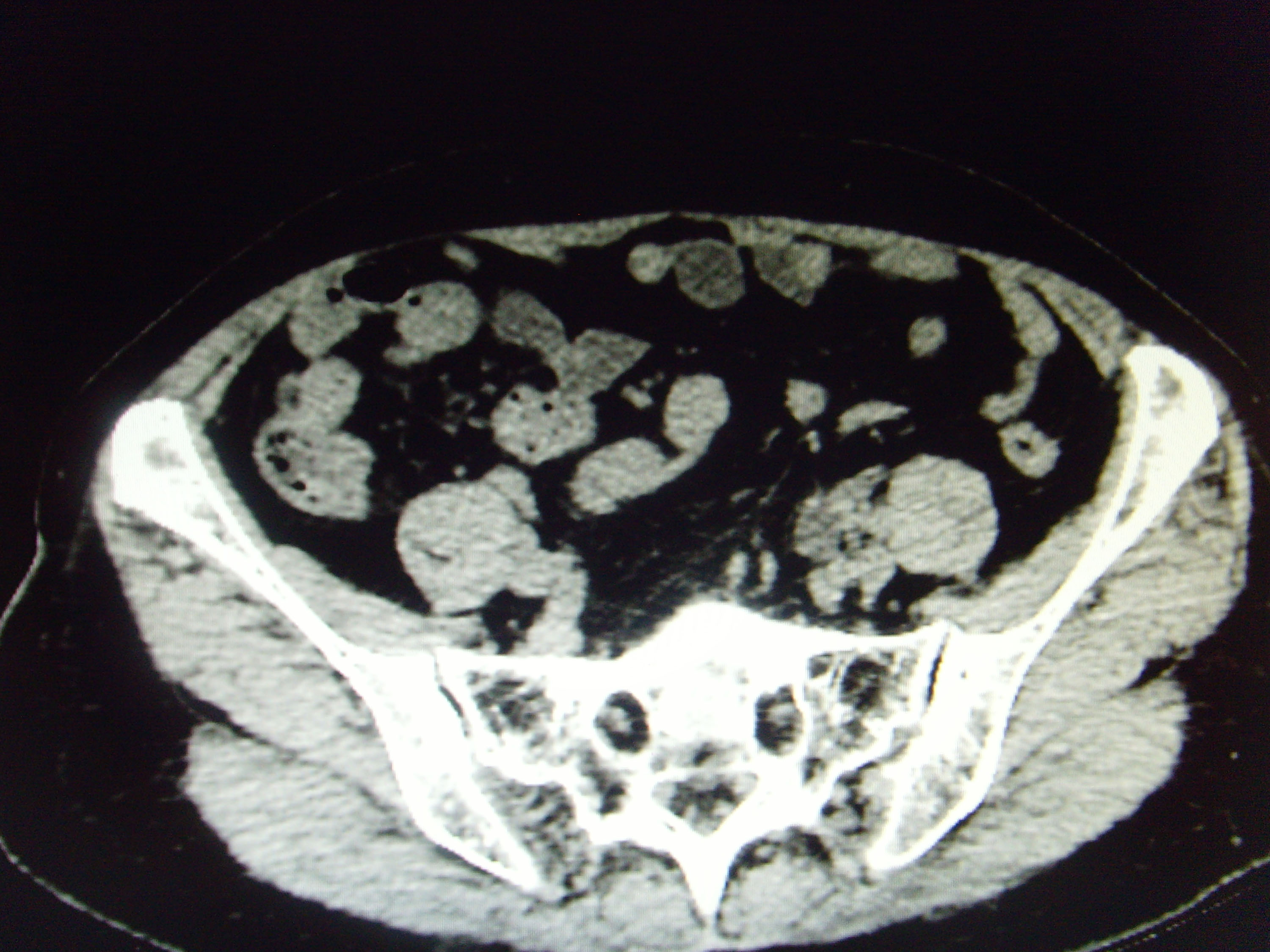
女,63岁,盆腔什么病变
回复
sunbin
发表于
2016-7-21 11:32
左侧附件区可见囊实性占位,以实性为主,肿块与子宫、膀胱分界不清,左侧输尿管下端扩张,考虑:左侧附件区占位-----卵巢癌累及邻近器官可能性大。左侧输尿管下端扩张。
支持
收藏
0
西街生活
发表于
2016-7-20 09:29
1)考虑左侧卵巢囊腺癌累及邻近结构。2)左侧输尿管下段扩张。
支持
收藏
0
随光逐影
发表于
2016-7-19 16:44
1)考虑左侧卵巢囊腺癌累及邻近结构。2)左侧输尿管下段扩张。
支持
收藏
0
zhengfaming
发表于
2016-7-19 09:24
病变呈囊实性,与子宫、左侧附件及膀胱分界欠清,周围似见反应性淋巴结。
1、首先考虑卵巢来源病变,累及 膀胱不除外,建议MR增强扫描。
支持
收藏
0
快速回复
返回顶部
返回列表