手机应用
微信
微博
QQ群
普通登陆
QQ登录
找回密码
注册
登录
好友
帖子
收藏
道具
勋章
任务
搜索
搜索
本版
文章
帖子
用户
影像医生
也能
网上问诊
了
首页
社区
BBS
新闻
读片会
影像图库
锐滴达
医影在线
»
社区
›
影像读片
›
CT病例讨论
›
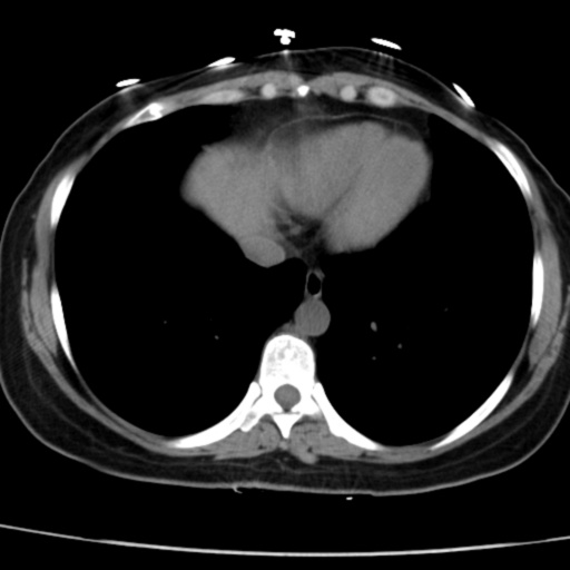
CT52091:女、42岁,B超提示肝右叶2X1cm肿块,请会诊。 ...
CT52091:女、42岁,B超提示肝右叶2X1cm肿块,请会诊。
查看数:
756
|
评论数:
7
|
收藏
0
关灯
|
提示:支持键盘翻页<-左 右->
帖子模式
组图打开中,请稍候......
收藏
0
赞同
0
反对
0
重庆格林
发布时间:
2016-8-15 14:26
正文摘要:
回复
sunbin
发表于
2016-8-27 14:31
建议增强。
西街生活
发表于
2016-8-18 15:46
上腹部CT轴位平扫未见明确异常;建议:行多期CT增强扫描检查。
支持
收藏
0
皖北医院
发表于
2016-8-17 15:49
建议增强或MR增强。
支持
收藏
0
摘星空竹子
发表于
2016-8-16 16:05
上腹部CT平扫未见明确异常
支持
收藏
0
shibing
发表于
2016-8-16 09:56
1)腰椎退行性改变,并腰椎失稳;多个椎间盘变性。2)L4/5双侧关节突关节退变并L4向前1度滑脱。
支持
收藏
0
天路人
发表于
2016-8-15 20:49
增强
随光逐影
发表于
2016-8-15 15:31
上腹部CT轴位平扫未见明确异常;建议:行多期CT增强扫描检查。
支持
收藏
0
快速回复
返回顶部
返回列表