手机应用
微信
微博
QQ群
普通登陆
QQ登录
找回密码
注册
登录
好友
帖子
收藏
道具
勋章
任务
搜索
搜索
本版
文章
帖子
用户
影像医生
也能
网上问诊
了
首页
社区
BBS
新闻
读片会
影像图库
锐滴达
医影在线
»
社区
›
影像读片
›
CT病例讨论
›
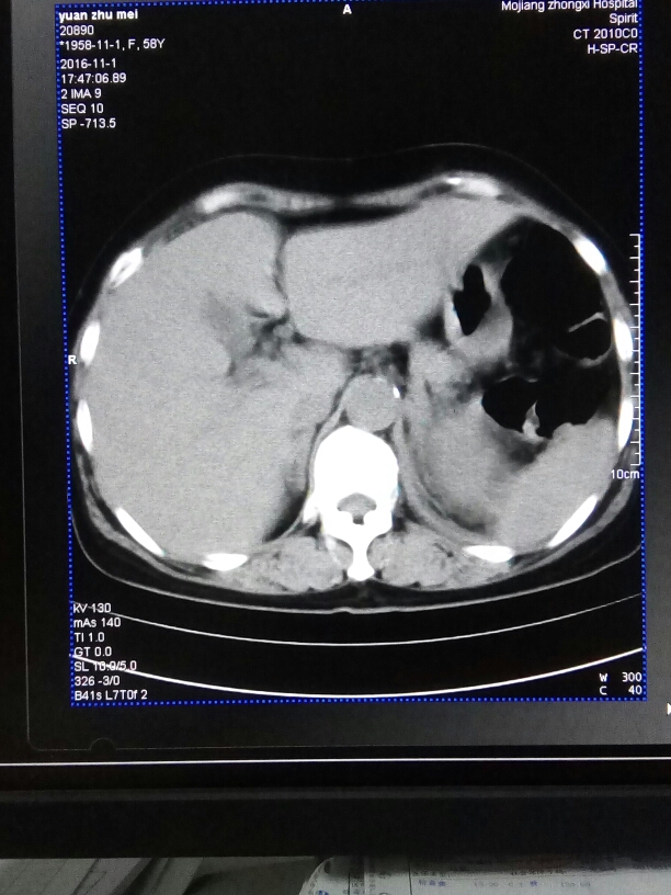
CT52335:肾
CT52335:肾
查看数:
852
|
评论数:
6
|
收藏
1
关灯
|
提示:支持键盘翻页<-左 右->
帖子模式
组图打开中,请稍候......
收藏
1
赞同
0
反对
0
x123456x
发布时间:
2016-11-1 17:12
正文摘要:
左肾是否代偿。
回复
zjm赵建明
发表于
2016-11-2 17:31
左肾建议增强扫描。另见胃壁明显增厚,需排除占位。
支持
收藏
1
改造社会
发表于
2016-11-2 16:36
左肾代偿性增大,并旋转不良。左肾周边缘模糊,考虑感染性病变。建议核磁或增强CT。
右肾缩小。
支持
收藏
1
摘星空竹子
发表于
2016-11-1 23:16
wangchaoboy8444 发表于 2016-11-1 21:40
左侧肾脏旋转不良,肾脏明显增大,内密度不均匀,肾周间隙显示不清晰,建议MR或CT增强检查 ...
支持!
支持
收藏
1
wangchaoboy8444
发表于
2016-11-1 21:40
左侧肾脏旋转不良,肾脏明显增大,内密度不均匀,肾周间隙显示不清晰,建议MR或CT增强检查
支持
收藏
1
皖北医院
发表于
2016-11-1 21:19
左侧肾脏旋转不良,肾脏明显增大,内密度不均匀,肾周间隙显示不清晰,考虑;感染性病变。
支持
收藏
1
天路人
发表于
2016-11-1 18:56
应该是左肾代偿,建议增强,进一步观察肾排泄功能。
支持
收藏
1
快速回复
返回顶部
返回列表