手机应用
微信
微博
QQ群
普通登陆
QQ登录
找回密码
注册
登录
好友
帖子
收藏
道具
勋章
任务
搜索
搜索
本版
文章
帖子
用户
影像医生
也能
网上问诊
了
首页
社区
BBS
新闻
读片会
影像图库
锐滴达
医影在线
»
社区
›
影像读片
›
CT病例讨论
›
CT52398:请会诊,病人,女,66岁。
CT52398:请会诊,病人,女,66岁。
查看数:
1281
|
评论数:
7
|
收藏
1
关灯
|
提示:支持键盘翻页<-左 右->
帖子模式
组图打开中,请稍候......
收藏
1
赞同
0
反对
0
lixiaohong8983
发布时间:
2016-11-24 10:40
正文摘要:
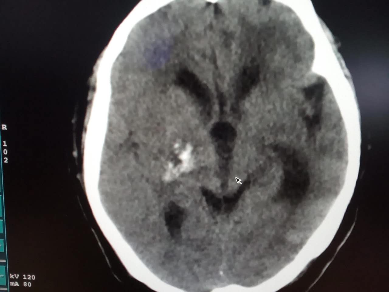
病人现在昏迷,既往患过脑梗、脑出血。
回复
西街生活
发表于
2016-12-2 08:04
相当右侧颞顶叶可见不规则团块状混杂密度区,内见斑片斑点及扭曲条状钙化及似脑脊液小片状低密度影。其间夹杂少许等密度影,团块无明显占位效应。两侧侧脑室前角、基底节区、左侧辐射冠区见斑片状似脑脊液密度。脑室扩大。考虑:右侧颞顶叶动静脉畸形。两侧侧脑室前角、基底节区、左侧辐射冠区多发性腔梗,部分软化灶。脑萎缩。
支持
收藏
1
sunbin
发表于
2016-12-1 10:56
相当右侧颞顶叶可见不规则团块状混杂密度区,内见斑片斑点及扭曲条状钙化及似脑脊液小片状低密度影。其间夹杂少许等密度影,团块无明显占位效应。两侧侧脑室前角、基底节区、左侧辐射冠区见斑片状似脑脊液密度。脑室扩大。考虑:右侧颞顶叶动静脉畸形。两侧侧脑室前角、基底节区、左侧辐射冠区多发性腔梗,部分软化灶。脑萎缩。
支持
收藏
1
石斌_dWoUU
发表于
2016-11-27 15:51
1、右侧动静脉畸形伴钙化可能。
2、多发腔梗 脑白质脱髓鞘改变 脑萎缩伴左侧顶叶软化灶。
支持
收藏
1
摘星空竹子
发表于
2016-11-27 00:36
支持动静脉畸形(AVM)伴钙化。
脑白质脱髓鞘改变。
支持
收藏
1
改造社会
发表于
2016-11-26 09:43
右侧半卵圆中心AVM伴多发钙化灶形成
左侧顶叶脑软化灶\多发腔隙性脑梗塞\脑萎缩
支持
收藏
1
wangchaoboy8444
发表于
2016-11-25 19:39
1、右侧AVM伴钙化可能。
2、双侧多发腔梗 脑白质脱髓鞘改变 脑萎缩伴左侧顶叶软化灶。
支持
收藏
1
天路人
发表于
2016-11-24 18:31
1、右侧动静脉畸形伴钙化可能。
2、多发腔梗 脑白质脱髓鞘改变 脑萎缩伴左侧顶叶软化灶。
支持
收藏
1
快速回复
返回顶部
返回列表