手机应用
微信
微博
QQ群
普通登陆
QQ登录
找回密码
注册
登录
好友
帖子
收藏
道具
勋章
任务
搜索
搜索
本版
文章
帖子
用户
影像医生
也能
网上问诊
了
首页
社区
BBS
新闻
读片会
影像图库
锐滴达
医影在线
»
社区
›
影像读片
›
X线病例讨论
›
X14085:胸部
X14085:胸部
查看数:
1632
|
评论数:
9
|
收藏
2
关灯
|
提示:支持键盘翻页<-左 右->
帖子模式
组图打开中,请稍候......
收藏
2
赞同
0
反对
0
刘圆脸baby
发布时间:
2016-12-22 10:13
正文摘要:
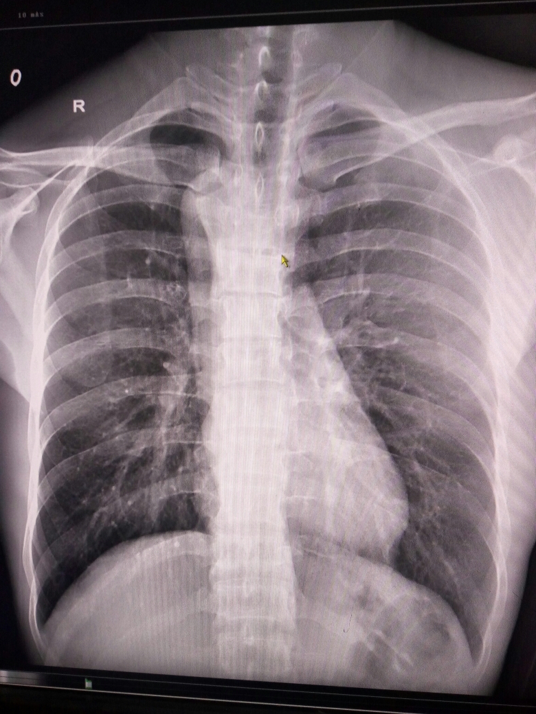
主动脉球那去了?请高手点播
回复
lyming00
发表于
2017-8-9 22:31
右位主动脉弓
支持
收藏
2
ysynyishengyoun
发表于
2017-2-8 21:20
右位主动脉弓
支持
收藏
2
李良荣
发表于
2016-12-25 19:16
右位主动脉弓
支持
收藏
2
随光逐影
发表于
2016-12-23 12:28
右弓右降。
sunbin
发表于
2016-12-23 10:51
主动脉弓位于脊柱右侧。考虑:右位主动脉弓。
支持
收藏
2
破碎虚空
发表于
2016-12-22 21:53
右位主动脉弓
支持
收藏
2
日月明
发表于
2016-12-22 19:23
右位主动脉弓
来自安卓客户端
支持
收藏
2
ZHANGZHONGSHOU
发表于
2016-12-22 18:36
右位主动脉弓,属先天畸形 /
支持
收藏
2
xx20361
发表于
2016-12-22 11:02
右位主动脉弓。不少见
支持
收藏
2
快速回复
返回顶部
返回列表