手机应用
微信
微博
QQ群
普通登陆
QQ登录
找回密码
注册
登录
好友
帖子
收藏
道具
勋章
任务
搜索
搜索
本版
文章
帖子
用户
影像医生
也能
网上问诊
了
首页
社区
BBS
新闻
读片会
影像图库
锐滴达
医影在线
»
社区
›
影像读片
›
CT病例讨论
›
CT52503:左侧顶部什么病变?
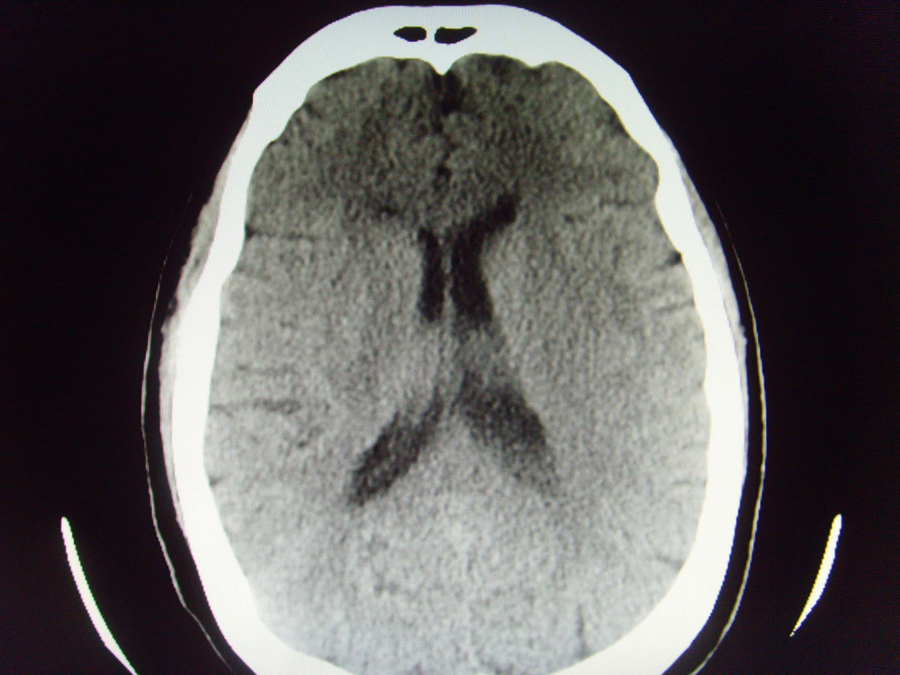
CT52503:左侧顶部什么病变?
查看数:
1970
|
评论数:
12
|
收藏
4
关灯
|
提示:支持键盘翻页<-左 右->
帖子模式
组图打开中,请稍候......
收藏
4
赞同
0
反对
0
zxczxc
发布时间:
2016-12-28 20:45
正文摘要:
左侧顶部什么病变?
回复
mnbvcxz1234
发表于
2019-1-13 18:11
考虑:左侧镰旁脑膜瘤、
支持
收藏
4
科室第一人
发表于
2017-1-6 17:46
脑膜瘤
西街生活
发表于
2017-1-6 15:02
考虑左侧镰旁脑膜瘤
支持
收藏
4
wangchaoboy8444
发表于
2017-1-5 10:02
考虑左侧镰旁脑膜瘤
支持
收藏
4
皖北医院
发表于
2016-12-31 19:33
考虑左侧镰旁脑膜瘤;建议:行CT增强扫描或MRI检查。
支持
收藏
4
shibing
发表于
2016-12-30 17:20
淋巴瘤 或 脑膜瘤
支持
收藏
4
shibing
发表于
2016-12-30 17:20
淋巴瘤 或 脑膜瘤
支持
收藏
4
重庆格林
发表于
2016-12-29 09:16
镰旁脑膜瘤
支持
收藏
4
随光逐影
发表于
2016-12-29 08:05
考虑左侧镰旁脑膜瘤;建议:行CT增强扫描或MRI检查。
支持
收藏
4
快速回复
返回顶部
返回列表