手机应用
微信
微博
QQ群
普通登陆
QQ登录
找回密码
注册
登录
好友
帖子
收藏
道具
勋章
任务
搜索
搜索
本版
文章
帖子
用户
影像医生
也能
网上问诊
了
首页
社区
BBS
新闻
读片会
影像图库
锐滴达
医影在线
»
社区
›
影像读片
›
CT病例讨论
›
CT52603:胸部CT请会诊37151
CT52603:胸部CT请会诊37151
查看数:
1294
|
评论数:
7
|
收藏
0
关灯
|
提示:支持键盘翻页<-左 右->
帖子模式
组图打开中,请稍候......
收藏
0
赞同
0
反对
0
vinesion
发布时间:
2017-2-9 11:04
正文摘要:
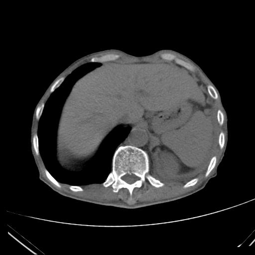
患者:男,81Y,纳差数月,左肺呼吸音减弱.
回复
wangchaoboy8444
发表于
2017-2-22 09:01
考虑:左肺干酪性肺炎并支气管内膜结核。建议结合临床,支气管镜检查。排除阻塞性病变
支持
收藏
0
金缘分
发表于
2017-2-21 19:23
左肺干酪性肺炎并支气管内膜结核
支持
收藏
0
西街生活
发表于
2017-2-21 15:28
左侧胸廓塌陷,心脏纵隔左移,左肺可见大片小片状及多发低密度透光区,左侧胸腔背侧及侧胸壁见积液,右肺透光度增加。考虑:左肺干酪性肺炎并支气管内膜结核。建议结合临床,支气管镜检查。排除阻塞性病变
支持
收藏
0
shibing
发表于
2017-2-12 15:18
左侧胸廓塌陷,心脏纵隔左移,左肺可见大片小片状及多发低密度透光区,左侧胸腔背侧及侧胸壁见积液,右肺透光度增加。考虑:左肺干酪性肺炎并支气管内膜结核。建议结合临床,支气管镜检查。排除阻塞性病变
支持
收藏
0
sunbin
发表于
2017-2-12 14:56
左侧胸廓塌陷,心脏纵隔左移,左肺可见大片小片状及多发低密度透光区,左侧胸腔背侧及侧胸壁见积液,右肺透光度增加。考虑:左肺干酪性肺炎并支气管内膜结核。建议结合临床,支气管镜检查。排除阻塞性病变。
支持
收藏
0
摘星空竹子
发表于
2017-2-9 17:17
考虑左肺干酪性肺炎并支气管内膜结核,建议结合实验室检查及支气管镜检查。
支持
收藏
0
天路人
发表于
2017-2-9 13:39
左肺干酪性肺炎,不排除瘢痕癌可能。建议行纤支镜进一步观察。
支持
收藏
0
快速回复
返回顶部
返回列表