手机应用
微信
微博
QQ群
普通登陆
QQ登录
找回密码
注册
登录
好友
帖子
收藏
道具
勋章
任务
搜索
搜索
本版
文章
帖子
用户
影像医生
也能
网上问诊
了
首页
社区
BBS
新闻
读片会
影像图库
锐滴达
医影在线
»
社区
›
影像读片
›
CT病例讨论
›
CT52648:胸部CT请会诊37487
CT52648:胸部CT请会诊37487
查看数:
1203
|
评论数:
6
|
收藏
1
关灯
|
提示:支持键盘翻页<-左 右->
帖子模式
组图打开中,请稍候......
收藏
1
赞同
0
反对
0
vinesion
发布时间:
2017-3-2 14:50
正文摘要:
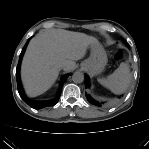
患者:男,71Y,气促10余天,PE:双肺呼吸音减弱,左肺明显,双下肺闻及少量湿性罗音。
回复
西街生活
发表于
2017-3-4 15:36
考虑中央型肺癌全并阻塞性肺炎;
胸腔积液;
心包积液。
支持
收藏
1
wangchaoboy8444
发表于
2017-3-4 11:05
左下肺阻塞性病变伴阻塞性炎症可能性大。建议支气管镜检查
支持
收藏
1
shibing
发表于
2017-3-3 11:31
左肺可见斑块状、斑片状索条结节状密度增高影,部分斑片影,边缘模糊,部分斑块影内见气体密度影,左下支气管狭窄。心包积液及左侧胸腔积液。考虑:左下肺阻塞性病变伴阻塞性炎症可能性大。
支持
收藏
1
sunbin
发表于
2017-3-3 11:30
左肺可见斑块状、斑片状索条结节状密度增高影,部分斑片影,边缘模糊,部分斑块影内见气体密度影,左下支气管狭窄。心包积液及左侧胸腔积液。考虑:左下肺阻塞性病变伴阻塞性炎症可能性大。
支持
收藏
1
难听
发表于
2017-3-2 20:33
TB
科室第一人
发表于
2017-3-2 20:21
左肺下叶背段阻塞性病变,肿瘤可能性大,右肺小结节灶。
支持
收藏
1
快速回复
返回顶部
返回列表