手机应用
微信
微博
QQ群
普通登陆
QQ登录
找回密码
注册
登录
好友
帖子
收藏
道具
勋章
任务
搜索
搜索
本版
文章
帖子
用户
影像医生
也能
网上问诊
了
首页
社区
BBS
新闻
读片会
影像图库
锐滴达
医影在线
»
社区
›
影像读片
›
CT病例讨论
›
CT52705:肾上腺腺瘤?
CT52705:肾上腺腺瘤?
查看数:
1221
|
评论数:
4
|
收藏
2
关灯
|
提示:支持键盘翻页<-左 右->
帖子模式
组图打开中,请稍候......
收藏
2
赞同
0
反对
0
whg216
发布时间:
2017-3-27 09:40
正文摘要:
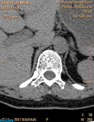
病人女,50岁左右,体检发现右侧肾上腺病变,无明显症状。平扫+增强 -------------------- 平扫 --------------------
回复
sunbin
发表于
2017-4-1 16:06
右肾上腺区可见软组织密度结节。密度较均匀,边缘清楚,中度强化,考虑:右肾上腺腺瘤。
支持
收藏
2
shibing
发表于
2017-3-29 16:11
右侧肾上腺腺瘤
支持
收藏
2
wangchaoboy8444
发表于
2017-3-27 19:43
右侧肾上腺腺瘤
支持
收藏
2
天路人
发表于
2017-3-27 14:49
右侧肾上腺腺瘤
支持
收藏
2
快速回复
返回顶部
返回列表