手机应用
微信
微博
QQ群
普通登陆
QQ登录
找回密码
注册
登录
好友
帖子
收藏
道具
勋章
任务
搜索
搜索
本版
文章
帖子
用户
影像医生
也能
网上问诊
了
首页
社区
BBS
新闻
读片会
影像图库
锐滴达
医影在线
»
社区
›
影像读片
›
X线病例讨论
›
X14140:右腕关节
X14140:右腕关节
查看数:
1892
|
评论数:
5
|
收藏
2
关灯
|
提示:支持键盘翻页<-左 右->
帖子模式
组图打开中,请稍候......
收藏
2
赞同
0
反对
0
darrenzhang
发布时间:
2017-4-21 08:52
正文摘要:
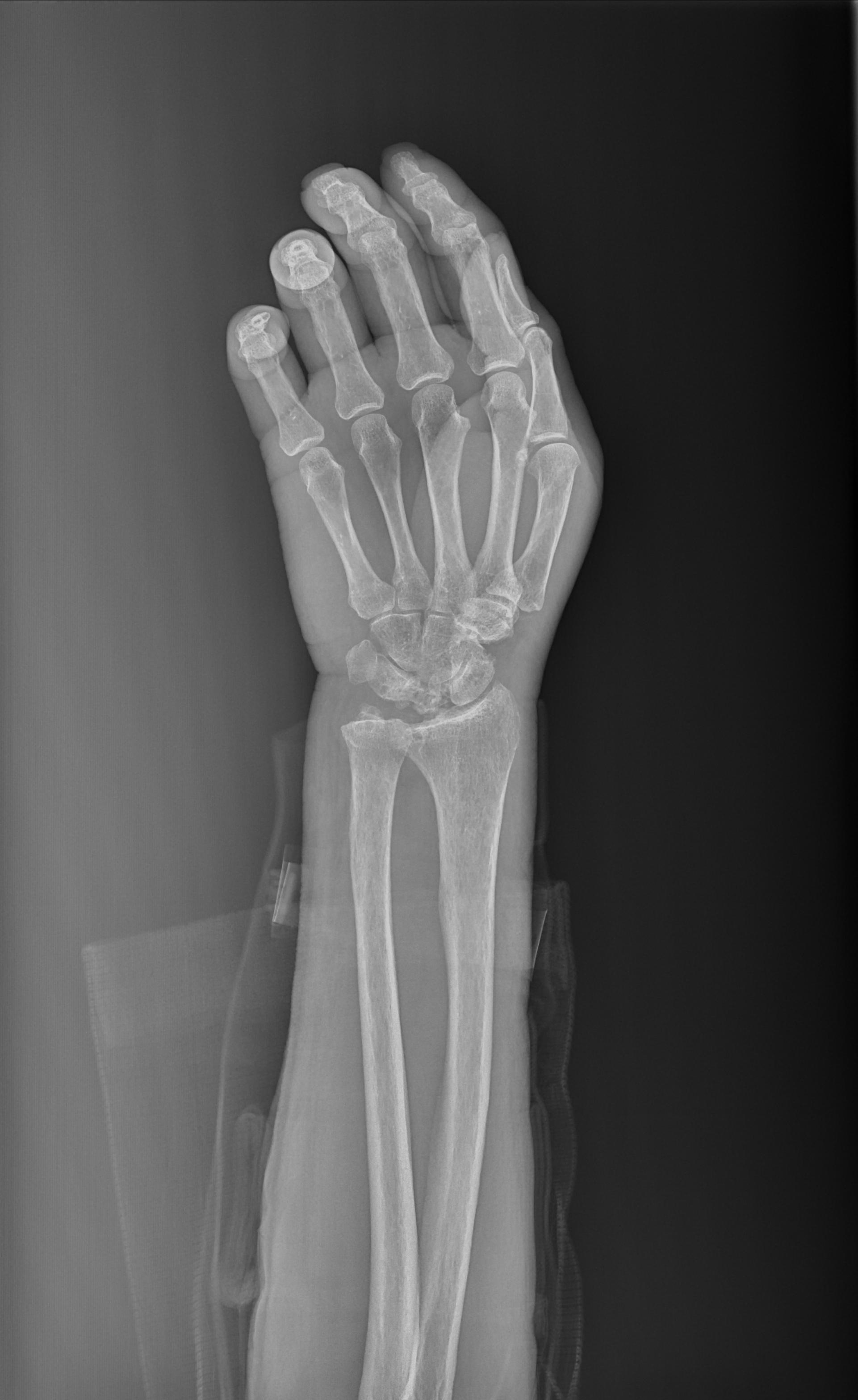
女,77岁,因腕部受伤拍片,掌背软组织肿胀,此前手腕活动良好。
回复
sunbin
发表于
2017-4-30 09:05
右侧月骨、三角骨骨质密度不均,部分囊变,月骨尤著且体积缩小。考虑:右侧月骨及三角骨缺血性坏死,尺骨撞击综合征?
支持
1
收藏
2
自由鸟
发表于
2017-4-23 16:27
右侧尺骨撞击综合征;右侧月骨及右侧三角骨缺血性坏死。
来自安卓客户端
支持
1
收藏
2
lyming00
发表于
2017-7-12 00:23
右侧月骨及右侧三角骨缺血性坏死。
支持
收藏
2
shibing
发表于
2017-4-22 11:40
右侧月骨及右侧三角骨缺血性坏死。
支持
收藏
2
随光逐影
发表于
2017-4-21 16:59
右侧尺骨撞击综合征;右侧月骨及右侧三角骨缺血性坏死。
支持
收藏
2
快速回复
返回顶部
返回列表