手机应用
微信
微博
QQ群
普通登陆
QQ登录
找回密码
注册
登录
好友
帖子
收藏
道具
勋章
任务
搜索
搜索
本版
文章
帖子
用户
影像医生
也能
网上问诊
了
首页
社区
BBS
新闻
读片会
影像图库
锐滴达
医影在线
»
社区
›
影像读片
›
MRI病例讨论
›
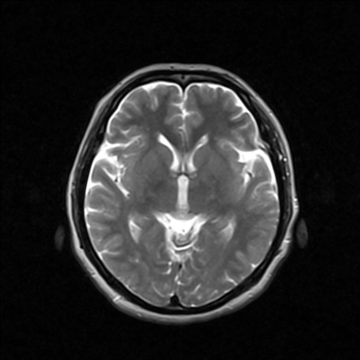
MRI7169:双侧脑室前角旁异常信号。
MRI7169:双侧脑室前角旁异常信号。
查看数:
1180
|
评论数:
6
|
收藏
0
关灯
|
提示:支持键盘翻页<-左 右->
帖子模式
组图打开中,请稍候......
收藏
0
赞同
0
反对
0
新竹平易
发布时间:
2017-4-25 16:21
正文摘要:
女,49岁,双侧脑室前角旁异常信号。
回复
pujunzhi
发表于
2017-5-19 11:40
考虑:双侧脉络丛可能。
支持
收藏
0
leiheku
发表于
2017-5-5 16:34
脉络丛钙化
来自安卓客户端
支持
收藏
0
sunbin
发表于
2017-5-4 11:19
考虑:双侧脉络丛钙化。
支持
收藏
0
shibing
发表于
2017-5-2 13:55
膜络丛
wangchaoboy8444
发表于
2017-5-2 08:50
膜络丛
王登跃
发表于
2017-5-1 16:49
膜络丛钙化。
支持
收藏
0
快速回复
返回顶部
返回列表