手机应用
微信
微博
QQ群
普通登陆
QQ登录
找回密码
注册
登录
好友
帖子
收藏
道具
勋章
任务
搜索
搜索
本版
文章
帖子
用户
影像医生
也能
网上问诊
了
首页
社区
BBS
新闻
读片会
影像图库
锐滴达
医影在线
»
社区
›
影像读片
›
CT病例讨论
›
CT52828:肺部小结节及磨玻璃结节,轻度强化 ...
CT52828:肺部小结节及磨玻璃结节,轻度强化
查看数:
1564
|
评论数:
7
|
收藏
1
关灯
|
提示:支持键盘翻页<-左 右->
帖子模式
组图打开中,请稍候......
收藏
1
赞同
0
反对
0
xiongyi1833
发布时间:
2017-5-27 20:06
正文摘要:
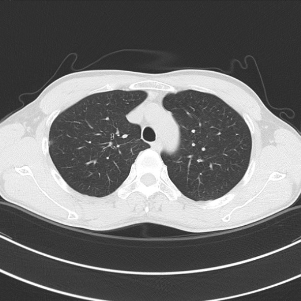
男,47岁,外伤CT发现肺部单个小结节及多发磨玻璃结节,三个月后复查变化不明显,求诊断思路!
回复
mnbvcxz1234
发表于
2018-12-6 12:41
右肺中叶外带见磨玻璃结节影,外形欠规整,增强扫描轻度强化。 考虑:恶性结节可能性大。
支持
收藏
1
wangchaoboy8444
发表于
2017-6-6 11:21
右肺中叶外带磨玻璃样结节,外形欠规整,轻度强化。考虑:恶性结节可能性大
支持
收藏
1
sunbin
发表于
2017-6-2 15:12
右肺中叶外带磨玻璃样结节,外形欠规整,轻度强化。考虑:恶性结节可能性大。
支持
收藏
1
shibing
发表于
2017-5-30 18:04
右肺中叶外带小结节灶,局部见胸膜反应,恶性病变不能除外。
个人建议:如若其它检查未见异常,建议早期手术。
支持
收藏
1
改造社会
发表于
2017-5-28 10:01
有癌变风险, 早手术为好
来自安卓客户端
支持
收藏
1
gsjyiyr
发表于
2017-5-28 09:55
右肺中叶外带小结节灶,局部见胸膜反应,恶性病变不能除外。
个人建议:如若其它检查未见异常,建议早期手术。
支持
收藏
1
快速回复
返回顶部
返回列表