医影在线

搜索

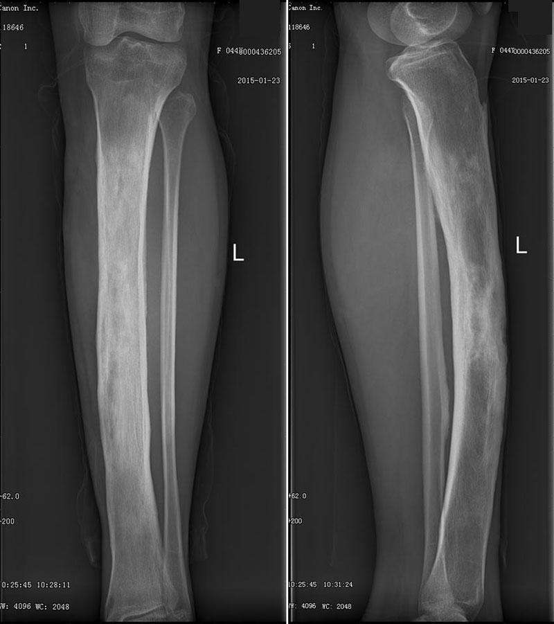
CL2952:胫骨慢性骨髓炎

查看数: 1998 | 评论数: 1 | 收藏 0
关灯 | 提示:支持键盘翻页<-左 右->
    组图打开中,请稍候......
发布时间: 2017-6-7 23:16

正文摘要:

女性,44岁。 主诉:左小腿胫骨骨髓炎35年,渗液不适1年余。 现病史:患者自述35年前无明显诱因出现左小腿胫骨上段环形肿物,局部皮肤潮红,当时疼痛剧烈,不能行走,并有渗液,在当地医院住院治疗,诊断为骨髓炎, ...

回复

快速回复 返回顶部 返回列表