手机应用
微信
微博
QQ群
普通登陆
QQ登录
找回密码
注册
登录
好友
帖子
收藏
道具
勋章
任务
搜索
搜索
本版
文章
帖子
用户
影像医生
也能
网上问诊
了
首页
社区
BBS
新闻
读片会
影像图库
锐滴达
医影在线
»
社区
›
影像读片
›
X线病例讨论
›
X14170:胸片 男 84岁
X14170:胸片 男 84岁
查看数:
1858
|
评论数:
8
|
收藏
0
关灯
|
提示:支持键盘翻页<-左 右->
帖子模式
组图打开中,请稍候......
收藏
0
赞同
0
反对
0
叶盟
发布时间:
2017-11-14 14:48
正文摘要:
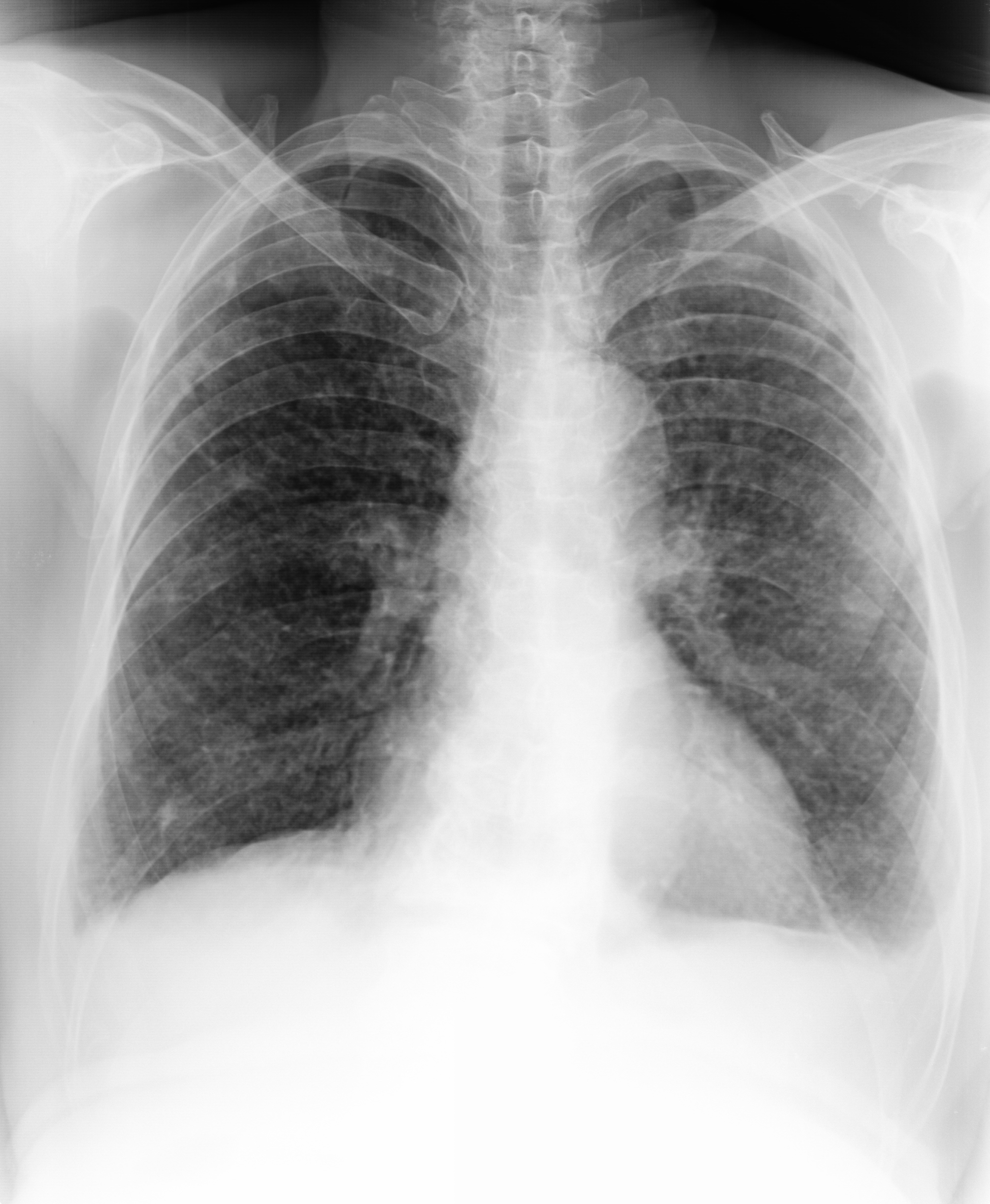
咳嗽 发热。白细胞增高。大家帮忙看看像什么?考虑结核吗?怎么写报告?
回复
wxswlp3
发表于
2017-11-27 16:27
支持粟栗状结核伴左侧少量胸腔积液
支持
收藏
0
leiheku
发表于
2017-11-24 09:52
支持粟粒性肺结核
支持
收藏
0
sunbin
发表于
2017-11-23 09:52
两肺纹理模糊,两肺内可见弥漫粟粒结节,右肺少许散在钙化,左侧肋膈角闭塞。右肺透光度稍增加。考虑:两肺粟粒性结核可能。左侧胸腔积液。建议CT检查。
支持
收藏
0
hmey
发表于
2017-11-22 15:50
结合临床症状典型。年纪较大,不排除转移性病变。
支持
收藏
0
kqs555
发表于
2017-11-18 16:06
支持粟粒性肺结核
支持
收藏
0
shibing
发表于
2017-11-18 15:35
两肺野见分布均匀,大小、密度一致粟粒状阴影;肺纹理被掩盖;左肋膈角消失。两侧肺门未见增大、增浓;双膈面光整,心影大小、形态正常,主动脉未见异常; 纵隔居中、无增大;两侧胸廓对称,无畸形;其它:未见异常
意见:两肺急性粟粒型肺结核。
左侧胸腔积液。
支持
收藏
0
hmey
发表于
2017-11-17 14:49
两肺野见分布均匀,大小、密度一致粟粒状阴影;肺纹理被掩盖;左肋膈角消失。两侧肺门未见增大、增浓;双膈面光整,心影大小、形态正常,主动脉未见异常; 纵隔居中、无增大;两侧胸廓对称,无畸形;其它:未见异常
意见:两肺急性粟粒型肺结核。
左侧胸腔积液。
支持
收藏
0
hmey
发表于
2017-11-17 14:42
两肺弥漫分布粟粒样结节阴影,密度均匀,以左肺较密集,部分融合,左肋膈角消失。
心影、纵膈未见明显异常。影像:血性播撒型肺结核。
支持
收藏
0
快速回复
返回顶部
返回列表