手机应用
微信
微博
QQ群
普通登陆
QQ登录
找回密码
注册
登录
好友
帖子
收藏
道具
勋章
任务
搜索
搜索
本版
文章
帖子
用户
影像医生
也能
网上问诊
了
首页
社区
BBS
新闻
读片会
影像图库
锐滴达
医影在线
»
社区
›
影像读片
›
CT病例讨论
›
CT53065:男61岁 高血压病史多年
CT53065:男61岁 高血压病史多年
查看数:
1190
|
评论数:
5
|
收藏
0
关灯
|
提示:支持键盘翻页<-左 右->
帖子模式
组图打开中,请稍候......
收藏
0
赞同
0
反对
0
wmsyy
发布时间:
2017-11-21 10:52
正文摘要:
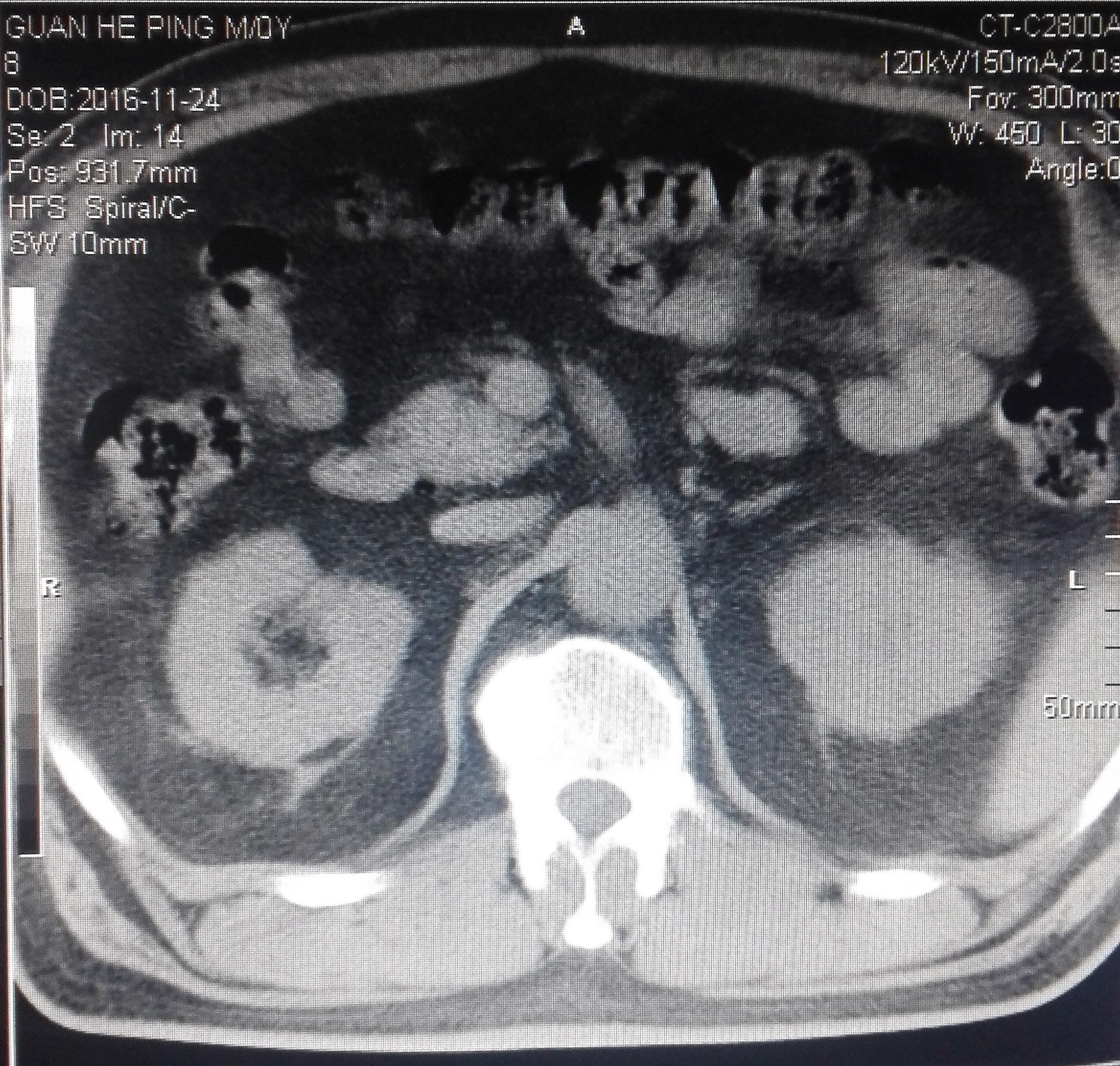
男61岁 高血压病史多年请各位老师帮忙看看左肾是囊肿?.B超报囊肿。
回复
jw_830
发表于
2017-12-15 21:33
考虑左肾高密度囊肿可能,建议增强
支持
收藏
0
sunbin
发表于
2017-12-14 13:37
左肾旁可见等密度外突隆起。边缘光整。考虑:左肾高密度囊肿可能。建议增强。
支持
收藏
0
leiheku
发表于
2017-11-23 10:37
增强
天路人
发表于
2017-11-22 08:02
支持2楼。
摘星空竹子
发表于
2017-11-21 22:35
考虑高密度囊肿,但还要增强扫描来明确。
支持
收藏
0
快速回复
返回顶部
返回列表