手机应用
微信
微博
QQ群
普通登陆
QQ登录
找回密码
注册
登录
好友
帖子
收藏
道具
勋章
任务
搜索
搜索
本版
文章
帖子
用户
影像医生
也能
网上问诊
了
首页
社区
BBS
新闻
读片会
影像图库
锐滴达
医影在线
»
社区
›
影像读片
›
CT病例讨论
›
CT53102:双肾输尿管膀胱CT
CT53102:双肾输尿管膀胱CT
查看数:
1067
|
评论数:
4
|
收藏
0
关灯
|
提示:支持键盘翻页<-左 右->
帖子模式
组图打开中,请稍候......
收藏
0
赞同
0
反对
0
ldm1993
发布时间:
2017-12-19 13:17
正文摘要:
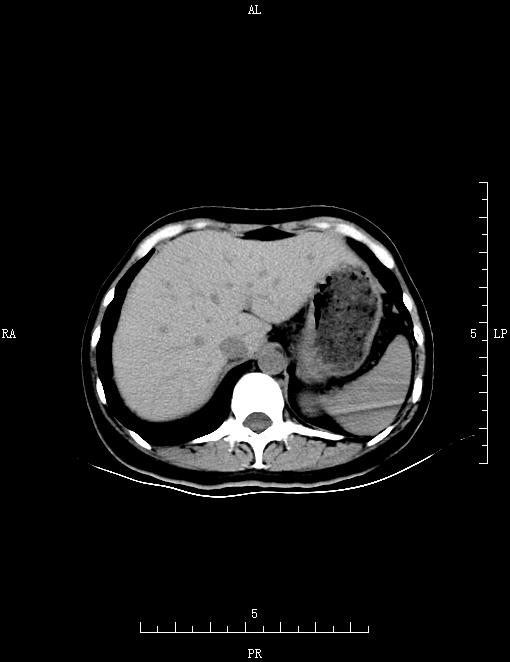
女,41岁,间断性血尿20天,为初始血尿,运动后加重。
回复
sunbin
发表于
2017-12-26 14:57
肝内胆管扩张,子宫颈增大且外形欠规整,左侧附件区似见低密度影,子宫周围及直肠窝见液体密度影。考虑:子宫颈占位可疑,建议MRI检查。左侧附件区囊肿?盆腔积液。
支持
收藏
0
天路人
发表于
2017-12-21 09:04
是血尿?阴道流血?本CT片泌尿系未见异常。另:子宫轮廓 内膜 颈部似不甚规则。另:子宫周围明显见积液。子宫左侧旁似见囊肿。余无特记。建议增强,待除外子宫病变。另:1、左侧卵巢囊肿不排除。2、盆腔炎。
支持
收藏
0
shibing
发表于
2017-12-20 12:22
宫颈癌不排除,建议核磁
支持
收藏
0
leiheku
发表于
2017-12-19 15:21
宫颈癌不排除,建议核磁
支持
收藏
0
快速回复
返回顶部
返回列表