手机应用
微信
微博
QQ群
普通登陆
QQ登录
找回密码
注册
登录
好友
帖子
收藏
道具
勋章
任务
搜索
搜索
本版
文章
帖子
用户
影像医生
也能
网上问诊
了
首页
社区
BBS
新闻
读片会
影像图库
锐滴达
医影在线
»
社区
›
影像读片
›
儿科病例
›
PED5372:小儿胸片
PED5372:小儿胸片
查看数:
2209
|
评论数:
3
|
收藏
0
关灯
|
提示:支持键盘翻页<-左 右->
帖子模式
组图打开中,请稍候......
收藏
0
赞同
0
反对
0
叶盟
发布时间:
2018-1-8 09:03
正文摘要:
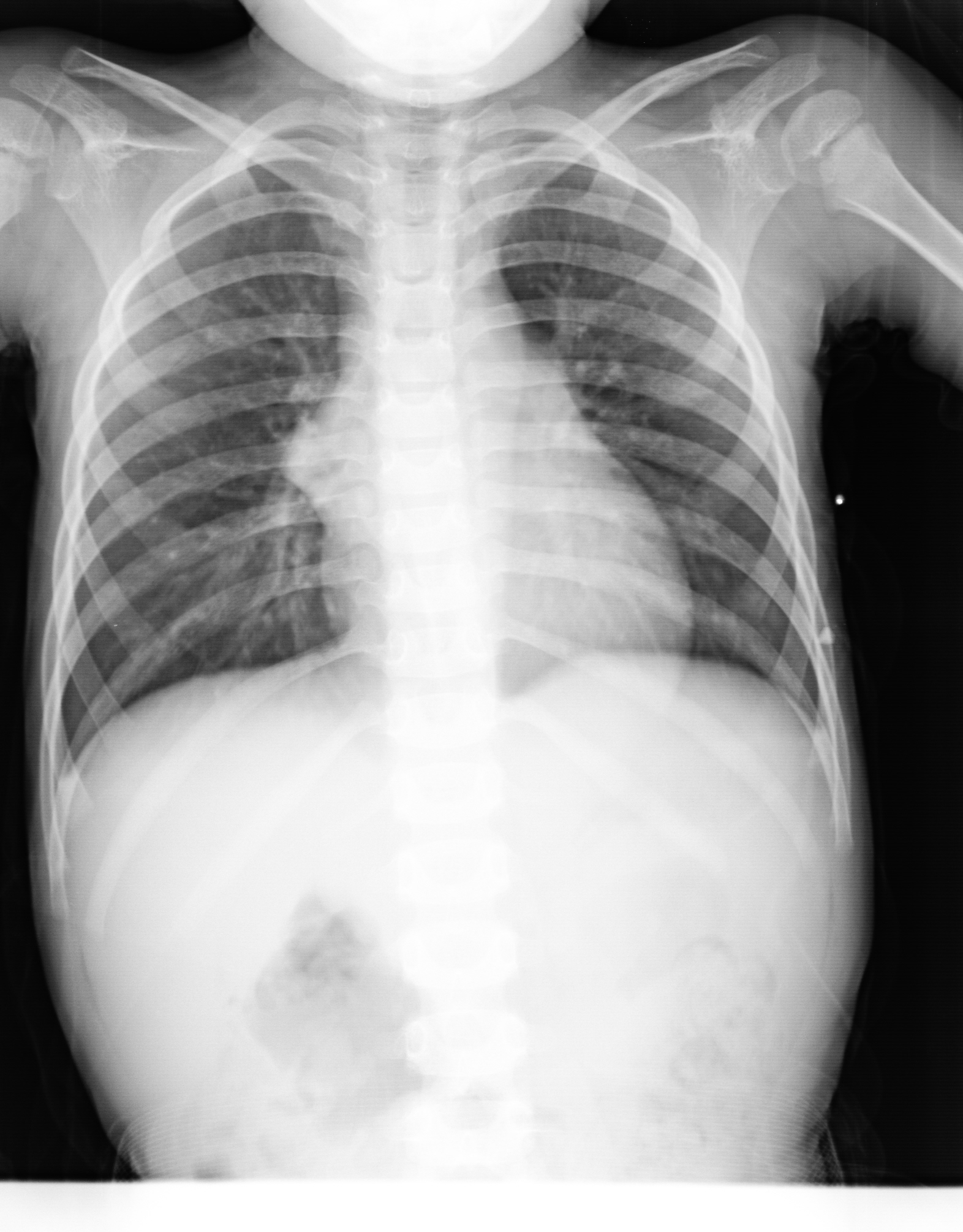
四岁,咳嗽半月余
回复
shibing
发表于
2018-1-11 09:15
考虑小儿支气管肺炎,右纵膈旁为胸腺“帆”征
支持
收藏
0
sunbin
发表于
2018-1-10 12:30
右肺门区可见似三角形致密影外突。考虑:右肺门淋巴结核可能。建议CT检查。
支持
收藏
0
hmey
发表于
2018-1-8 10:25
两下肺中内带夹杂小点状阴影,可考虑小儿支气管肺炎,右纵膈旁为胸腺“帆”征,其他未见异常。
支持
收藏
0
快速回复
返回顶部
返回列表